• Tel: 858.663.9055
  • SeparatorEmail: info@nsjbio.com
  • Tel: 858.663.9055
  • Email: info@nsjbio.com
Home >> Antibodies >> Kindlin 2 Antibody / KIND2

Kindlin 2 Antibody / KIND2 [clone 3A3] (V8891)

  Catalog No Formulation Size Price (USD)  
Image V8891-100UG 0.2 mg/ml in 1X PBS with 0.1 mg/ml BSA (US sourced), 0.05% sodium azide 100 ug 559
Image
V8891-20UG 0.2 mg/ml in 1X PBS with 0.1 mg/ml BSA (US sourced), 0.05% sodium azide 20 ug 259
Image
V8891SAF-100UG 1 mg/ml in 1X PBS; BSA free, sodium azide free 100 ug 559
Bulk quote request
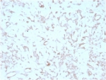
IHC staining of FFPE human liver tissue with Kindlin 2 antibody (clone 3A3). HIER: boil tissue sections in pH 9 10mM Tris with 1mM EDTA for 20 min and allow to cool before testing.
IHC staining of FFPE human liver tissue with Kindlin 2 antibody (clone 3A3). HIER: boil tissue sections in pH 9 10mM Tris with 1mM EDTA for 20 min and allow to cool before testing.
Availability 1-3 business days
Species Reactivity Human
Format Purified
Host Mouse
Clonality Monoclonal (mouse origin)
Isotype Mouse IgG1, kappa
Clone Name 3A3
Purity Protein A/G affinity
UniProt Q96AC1
Localization Cytoplasm
Applications Immunohistochemistry (FFPE) : 1-2ug/ml
Western Blot : 1-2ug/ml
Limitations This Kindlin 2 antibody is available for research use only.
Review this product on BioCompare and get a $20 Amazon gift card

Related Products

Description

Kindlin-2 (also known as Mig-2 and KIND2) is an important component of cell-extracellular matrix adhesion. Kindlin-2 binds integrins and is involved in ECM adhesion, actin assembly and cell shape modulation.

Application Notes

Optimal dilution of the Kindlin-2 antibody should be determined by the researcher.

Immunogen

A portion of amino acids 218-486 was used as the immunogen for the Kindlin 2 antibody.

Storage

Aliquot the Kindlin 2 antibody and store frozen at -20oC or colder. Avoid repeated freeze-thaw cycles.

Cross
Bulk Quote Request Form
Name*:
Organization*:
Email*:
Phone Number*:
Catalog No.*:
Comments and Specifics(amount, formulation, etc.)*:
Validation code: Captchapackage Image


Can't read the image? click here to refresh.
    *required field

Your bulk quote request has been submitted successfully!

Please contact us if you have any questions.