• Tel: 858.663.9055
  • SeparatorEmail: info@nsjbio.com
  • Tel: 858.663.9055
  • Email: info@nsjbio.com
Home >> Antibodies >> KIN Antibody / KIN17

KIN Antibody / KIN17 (R31828)

  Catalog No Formulation Size Price (USD)  
Image R31828 0.5mg/ml if reconstituted with 0.2ml sterile DI water 100 ug 449
Bulk quote request
Western blot testing of 1) human HeLa, 2) human MCF7, 3) human 293T, 4) human HepG2, 5) rat RH35, 6) rat NRK, 7) mouse HEPA1-6 and 8) mouse NIH 3T3 cell lysate with KIN antibody. Predicted molecular weight ~45 kDa.
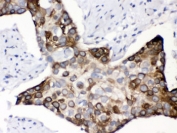
IHC testing of FFPE human squamosa cell carcinoma of the eosophagus with KIN antibody. HIER: Boil the paraffin sections in pH 6, 10mM citrate buffer for 20 minutes and allow to cool prior to staining.
Availability 1-3 business days
Species Reactivity Human, Mouse, Rat
Format Antigen affinity purified
Host Rabbit
Clonality Polyclonal (rabbit origin)
Isotype Rabbit IgG
Purity Antigen affinity
Buffer Lyophilized from 1X PBS with 2.5% BSA and 0.025% sodium azide
UniProt O60870
Applications Western Blot : 0.1-0.5ug/ml
Immunohistochemistry (FFPE) : 0.5-1ug/ml
Limitations This KIN antibody is available for research use only.
Review this product on BioCompare and get a $20 Amazon gift card

Related Products

  • Applications : WB
    Reactivity : Human, Mouse, Rat

Description

DNA/RNA-binding protein KIN17, also known as BTCD or KIN, is a protein that in humans is encoded by the KIN gene. This gene is mapped to 10p14. The protein encoded by this gene is a nuclear protein that forms intranuclear foci during proliferation and is redistributed in the nucleoplasm during the cell cycle. Short-wave ultraviolet light provokes the relocalization of the protein, suggesting its participation in the cellular response to DNA damage. Originally selected based on protein-binding with RecA antibodies, the mouse protein presents a limited similarity with a functional domain of the bacterial RecA protein, a characteristic shared by this human ortholog. Alternative splicing of this gene results in multiple transcript variants.

Application Notes

Optimal dilution of the KIN antibody should be determined by the researcher.

Immunogen

Amino acids 3-202 of human KIN17 were used as the immunogen for the KIN antibody.

Storage

After reconstitution, the KIN antibody can be stored for up to one month at 4oC. For long-term, aliquot and store at -20oC. Avoid repeated freezing and thawing.

Cross
Bulk Quote Request Form
Name*:
Organization*:
Email*:
Phone Number*:
Catalog No.*:
Comments and Specifics(amount, formulation, etc.)*:
Validation code: Captchapackage Image


Can't read the image? click here to refresh.
    *required field

Your bulk quote request has been submitted successfully!

Please contact us if you have any questions.