• Tel: 858.663.9055
  • SeparatorEmail: info@nsjbio.com
  • Tel: 858.663.9055
  • Email: info@nsjbio.com
Home >> Antibodies >> KIF22 Antibody / Kinesin-like protein KIF22

KIF22 Antibody / Kinesin-like protein KIF22 (F54399)

  Catalog No Formulation Size Price (USD)  
Image F54399-0.4ML In 1X PBS, pH 7.4, with 0.09% sodium azide 0.4 ml 439
Image
F54399-0.08ML In 1X PBS, pH 7.4, with 0.09% sodium azide 0.08 ml 205
Bulk quote request
Western blot testing of human 1) MCF7, 2) HeLa, 3) SH-SY5Y, 4) Jurkat and 5) HL60 cell lysate with KIF22 antibody. Predicted molecular weight ~73 kDa.
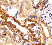
IHC testing of FFPE human kidney tissue with KIF22 antibody. HIER: steam section in pH6 citrate buffer for 20 min and allow to cool prior to staining.
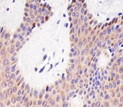
IHC testing of FFPE human skin tissue with KIF22 antibody. HIER: steam section in pH6 citrate buffer for 20 min and allow to cool prior to staining.
Immunofluorescent staining of fixed and permeabilized human MCF7 cells with KIF22 antibody (green), DAPI nuclear stain (blue) and anti-Actin (red).
Availability 1-3 business days
Species Reactivity Human
Format Purified
Host Rabbit
Clonality Polyclonal (rabbit origin)
Isotype Rabbit Ig
Purity Antigen affinity purified
UniProt Q14807
Localization Nuclear, cytoplasmic
Applications Western Blot : 1:500-1:2000
Immunohistochemistry (FFPE) : 1:25
Immunofluorescence : 1:25
Limitations This KIF22 antibody is available for research use only.
Review this product on BioCompare and get a $20 Amazon gift card

Description

Kinesin family that is involved in spindle formation and the movements of chromosomes during mitosis and meiosis. Binds to microtubules and to DNA.

Application Notes

The stated application concentrations are suggested starting points. Titration of the KIF22 antibody may be required due to differences in protocols and secondary/substrate sensitivity.

Immunogen

A portion of amino acids 423-456 from the human protein was used as the immunogen for the KIF22 antibody.

Storage

Aliquot the KIF22 antibody and store frozen at -20oC or colder. Avoid repeated freeze-thaw cycles.

Cross
Bulk Quote Request Form
Name*:
Organization*:
Email*:
Phone Number*:
Catalog No.*:
Comments and Specifics(amount, formulation, etc.)*:
Validation code: Captchapackage Image


Can't read the image? click here to refresh.
    *required field

Your bulk quote request has been submitted successfully!

Please contact us if you have any questions.