• Tel: 858.663.9055
  • SeparatorEmail: info@nsjbio.com
  • Tel: 858.663.9055
  • Email: info@nsjbio.com
Home >> Antibodies >> KEAP1 Antibody

KEAP1 Antibody (R34041)

  Catalog No Formulation Size Price (USD)  
Image R34041-100UG 0.5 mg/ml in 1X TBS, pH7.3, with 0.5% BSA (US sourced) and 0.02% sodium azide 100 ug 475
Bulk quote request
Western blot testing of NIH3T3 lysate with KEAP1 antibody at 0.2ug/ml. Predicted molecular weight ~70 kDa.
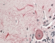
IHC staining of FFPE human cerebellum with KEAP1 antibody at 4ug/ml. HIER: steamed with pH6 citrate buffer, AP-staining.
Availability 1-3 business days
Species Reactivity Human, Mouse
Predicted Reactivity Cow, Dog, Pig, Rat
Format Antigen affinity purified
Host Goat
Clonality Polyclonal (goat origin)
Isotype Goat Ig
Purity Antigen affinity
Gene ID 9817
Applications Western Blot : 0.2-0.6ug/ml
Immunohistochemistry (FFPE) : 3-5ug/ml
ELISA (peptide) LOD : 1:32000
Limitations This KEAP1 antibody is available for research use only.
Review this product on BioCompare and get a $20 Amazon gift card

Related Products

Description

Additional name(s) for this target protein: Kelch-like ECH-associated protein 1

Application Notes

Optimal dilution of the KEAP1 antibody should be determined by the researcher.

Immunogen

Amino acids EVTPSQHGNRTFS were used as the immunogen for this KEAP1 antibody.

Storage

Aliquot and store the KEAP1 antibody at -20oC.

Cross
Bulk Quote Request Form
Name*:
Organization*:
Email*:
Phone Number*:
Catalog No.*:
Comments and Specifics(amount, formulation, etc.)*:
Validation code: Captchapackage Image


Can't read the image? click here to refresh.
    *required field

Your bulk quote request has been submitted successfully!

Please contact us if you have any questions.