• Tel: 858.663.9055
  • SeparatorEmail: info@nsjbio.com
  • Tel: 858.663.9055
  • Email: info@nsjbio.com
Home >> Antibodies >> ITGB5 Antibody / Integrin beta 5

ITGB5 Antibody / Integrin beta 5 [clone 9E2.] (RQ6365)

  Catalog No Formulation Size Price (USD)  
Image RQ6365 0.5mg/ml if reconstituted with 0.2ml sterile DI water 100 ug 449
Bulk quote request
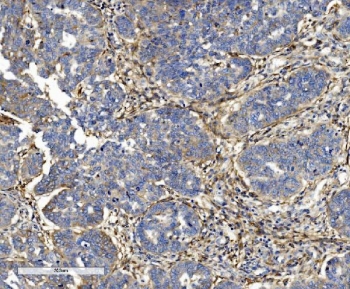
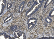
IHC staining of FFPE human ovarian serous adenocarcinoma tissue with ITGB5 antibody. HIER: boil tissue sections in pH8 EDTA for 20 min and allow to cool before testing.
IHC staining of FFPE human rectal cancer tissue with ITGB5 antibody. HIER: boil tissue sections in pH8 EDTA for 20 min and allow to cool before testing.
IHC staining of FFPE human lung cancer tissue with ITGB5 antibody. HIER: boil tissue sections in pH8 EDTA for 20 min and allow to cool before testing.
Western blot testing of human A549 cell lysate with ITGB5 antibody. Predicted molecular weight ~88 kDa.
Flow cytometry testing of human A549 cells with ITGB5 antibody at 1ug/million cells (blocked with goat sera); Red=cells alone, Green=isotype control, Blue= ITGB5 antibody.
Availability 1-3 business days
Species Reactivity Human
Format Purified
Host Mouse
Clonality Monoclonal (mouse origin)
Isotype Mouse IgG1
Clone Name 9E2.
Purity Antigen affinity purified
Buffer Lyophilized from 1X PBS with 2% Trehalose
UniProt P18084
Applications Western Blot : 0.5-1ug/ml
Immunohistochemistry (FFPE) : 2-5ug/ml
Flow Cytometry : 1-3ug/million cells
Limitations This ITGB5 antibody is available for research use only.
Review this product on BioCompare and get a $20 Amazon gift card

Related Products

  • Applications : IHC, WB, ELISA
    Reactivity : Human
    Pred. Reactivity : Bovine, Mouse
  • Applications : WB, ELISA (peptide)
    Reactivity : Human, Mouse
    Pred. Reactivity : Cow, Dog, Pig, Rat
  • Applications : WB, IHC-P, IF, FACS, Direct ELISA
    Reactivity : Human, Mouse

Description

This gene encodes a beta subunit of integrin, which can combine with different alpha chains to form a variety of integrin heterodimers. Integrins are integral cell-surface receptors that participate in cell adhesion as well as cell-surface mediated signaling. The alphav beta5 integrin is involved in adhesion to vitronectin.

Application Notes

Optimal dilution of the ITGB5 antibody should be determined by the researcher.

Immunogen

Recombinant human protein (amino acids S32-D689) was used as the immunogen for the ITGB5 antibody.

Storage

After reconstitution, the ITGB5 antibody can be stored for up to one month at 4oC. For long-term, aliquot and store at -20oC. Avoid repeated freezing and thawing.

Cross
Bulk Quote Request Form
Name*:
Organization*:
Email*:
Phone Number*:
Catalog No.*:
Comments and Specifics(amount, formulation, etc.)*:
Validation code: Captchapackage Image


Can't read the image? click here to refresh.
    *required field

Your bulk quote request has been submitted successfully!

Please contact us if you have any questions.