• Tel: 858.663.9055
  • SeparatorEmail: info@nsjbio.com
  • Tel: 858.663.9055
  • Email: info@nsjbio.com
Home >> Antibodies >> Itgae Antibody / Cd103

Itgae Antibody / Cd103 (RQ7083)

  Catalog No Formulation Size Price (USD)  
Image RQ7083 0.5mg/ml if reconstituted with 0.2ml sterile DI water 100 ug 449
Bulk quote request
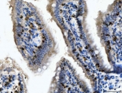
IHC staining of FFPE rat colon tissue with Itgae antibody. HIER: boil tissue sections in pH8 EDTA for 20 min and allow to cool before testing.
IHC staining of FFPE mouse colon tissue with Itgae antibody. HIER: boil tissue sections in pH8 EDTA for 20 min and allow to cool before testing.
Availability 1-3 business days
Species Reactivity Mouse, Rat
Format Antigen affinity purified
Host Rabbit
Clonality Polyclonal (rabbit origin)
Isotype Rabbit IgG
Purity Antigen affinity purified
Buffer Lyophilized from 1X PBS with 2% Trehalose
UniProt Q60677
Localization Cell membrane, cytoplasm
Applications Immunohistochemistry (FFPE) : 2-5ug/ml
Direct ELISA : 0.1-0.5ug/ml
Limitations This Itgae antibody is available for research use only.
Review this product on BioCompare and get a $20 Amazon gift card

Related Products

Description

ITGAE (INTEGRIN, ALPHA-E), also known as CD103, is an integrin protein that in human is encoded by the ITGAE gene. The ITGAE gene is mapped to chromosome 17p13 by inclusion within a BAC contig. ITGAE is expressed widely on intraepithelial lymphocyte (IEL) T cells (both alpha-beta T cells and gamma-delta T cells) and on some peripheral regulatory T cells(Tregs) which is important for decreasing the immune response and appears to play a crucial role in the prevention of autoimmune diseases. ITGAE shares overall homology with other alpha integrins but has a unique 55-amino acid extra region located just N-terminal to the I domain that contains 18 consecutive charged residues and a proteolytic cleavage site.

Application Notes

Optimal dilution of the Itgae antibody should be determined by the researcher.

Immunogen

Recombinant mouse protein (amino acids F20-E1061) was used as the immunogen for the Itgae antibody.

Storage

After reconstitution, the Itgae antibody can be stored for up to one month at 4oC. For long-term, aliquot and store at -20oC. Avoid repeated freezing and thawing.

Cross
Bulk Quote Request Form
Name*:
Organization*:
Email*:
Phone Number*:
Catalog No.*:
Comments and Specifics(amount, formulation, etc.)*:
Validation code: Captchapackage Image


Can't read the image? click here to refresh.
    *required field

Your bulk quote request has been submitted successfully!

Please contact us if you have any questions.