• Tel: 858.663.9055
  • SeparatorEmail: info@nsjbio.com
  • Tel: 858.663.9055
  • Email: info@nsjbio.com
Home >> Antibodies >> IPO38 Antibody (Proliferation Marker)

IPO38 Antibody (Proliferation Marker) [clone SPM260] (V3078)

  Catalog No Formulation Size Price (USD)  
Image V3078-100UG 0.2 mg/ml in 1X PBS with 0.1 mg/ml BSA (US sourced) and 0.05% sodium azide 100 ug 559
Image
V3078-20UG 0.2 mg/ml in 1X PBS with 0.1 mg/ml BSA (US sourced) and 0.05% sodium azide 20 ug 259
Image
V3078SAF-100UG 1 mg/ml in 1X PBS; BSA free, sodium azide free 100 ug 559
Image
V3078IHC-7ML Prediluted in 1X PBS with 0.1 mg/ml BSA (US sourced) and 0.05% sodium azide; *For IHC use only* 7 ml 559
Bulk quote request
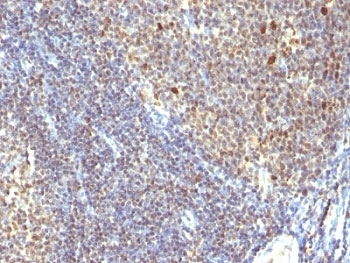
IHC: Formalin-fixed, paraffin-embedded human tonsil stained with IPO38 antibody (SPM260).
Availability 1-3 business days
Species Reactivity Human
Format Purified
Host Mouse
Clonality Monoclonal (mouse origin)
Isotype Mouse IgM, kappa
Clone Name SPM260
Purity PEG precipitation
Localization Nuclear
Applications Immunohistochemistry (FFPE) : 1-2ug/ml for 30 min at RT
Limitations This IPO38 antibody is available for research use only.
Review this product on BioCompare and get a $20 Amazon gift card

Related Products

Description

Recognizes a protein of 14-16kDa, which is a novel nuclear antigen of proliferating cells. IPO-38 antigen is present in the nuclei of proliferating cells such as Hodgkin s disease and non-Hodgkin s lymphomas, different forms of leukemias, breast and colorectal carcinomas, and PHA-stimulated lymphocytes. It is not expressed in the cells of non-stimulated lymphocytes and granulocytes. IPO-38 can be a useful marker of cell proliferation during monitoring of tumor progression.

Application Notes

Optimal dilution of the IPO38 antibody should be determined by the researcher.

1. Staining of formalin-fixed tissues requires boiling tissue sections in pH 9 10mM Tris with 1mM EDTA for 10-20 min followed by cooling at RT for 20 min.
2. The prediluted format is supplied in a dropper bottle and is optimized for use in IHC. After epitope retrieval step (if required), drip mAb solution onto the tissue section and incubate at RT for 30 min.

Immunogen

Spleen cells from a patient with hairy cell leukemia were used as the immunogen for the IPO38 antibody.

Storage

Store the IPO38 antibody at 2-8oC (with azide) or aliquot and store at -20oC or colder (without azide).

Cross
Bulk Quote Request Form
Name*:
Organization*:
Email*:
Phone Number*:
Catalog No.*:
Comments and Specifics(amount, formulation, etc.)*:
Validation code: Captchapackage Image


Can't read the image? click here to refresh.
    *required field

Your bulk quote request has been submitted successfully!

Please contact us if you have any questions.