• Tel: 858.663.9055
  • SeparatorEmail: info@nsjbio.com
  • Tel: 858.663.9055
  • Email: info@nsjbio.com
Home >> Antibodies >> Interleukin-7 Antibody / IL-7

Interleukin-7 Antibody / IL-7 [clone IL7/4269] (V5247)

  Catalog No Formulation Size Price (USD)  
Image V5247-100UG 0.2 mg/ml in 1X PBS with 0.1 mg/ml BSA (US sourced), 0.05% sodium azide 100 ug 559
Image
V5247-20UG 0.2 mg/ml in 1X PBS with 0.1 mg/ml BSA (US sourced), 0.05% sodium azide 20 ug 259
Image
V5247SAF-100UG 1 mg/ml in 1X PBS; BSA free, sodium azide free 100 ug 559
Bulk quote request
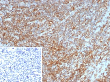
IHC staining of FFPE human tonsil tissue with Interleukin-7 antibody (clone IL7/4269). Inset: PBS used in place of primary Ab (secondary Ab negative control). HIER: boil tissue sections in pH 9 10mM Tris with 1mM EDTA for 20 min and allow to cool before testing.
SDS-PAGE analysis of purified, BSA-free Interleukin-7 antibody (clone IL7/4269) as confirmation of integrity and purity.
Availability 1-3 business days
Species Reactivity Human
Format Purified
Host Mouse
Clonality Monoclonal (mouse origin)
Isotype Mouse IgG2, kappa
Clone Name IL7/4269
Purity Protein A/G affinity
UniProt P13232
Localization Secreted
Applications Immunohistochemistry (FFPE) : 1-2ug/ml for 30 min at RT
Limitations This Interleukin-7 antibody is available for research use only.
Review this product on BioCompare and get a $20 Amazon gift card

Related Products

  • Applications : FACS, IF
    Reactivity : Human
    Recrabbitmono
  • Applications : FACS, IF, IHC-P
    Reactivity : Human
    Microvalidated
  • Applications : FACS, IF, IHC-P
    Reactivity : Human
    Microvalidated
  • Applications : WB, ELISA (protein)
    Reactivity : Human
  • Applications : WB, IHC-P
    Reactivity : Mouse, Human
  • Applications : WB, ELISA (protein)
    Reactivity : Human
  • Applications : WB
    Reactivity : Mouse, Rat

Description

Interleukin-7 (IL-7) was originally described as a factor capable of inducing in vitro proliferation of pre-B cells from marrow cultures. The IL-7 gene encodes a protein 177 amino acids in length. IL-7 exerts its biological function through the IL-7 receptor which is expressed on pre-B cells, thymocytes and bone marrow-derived macrophages. The IL-7 receptor is composed of an IL-7 receptor specific chain and the IL-2 receptor gamma chain common to the IL-2, IL-4, IL-7, IL-9 and IL-15 receptors. IL-7 stimulation leads to the activation of Janus tyrosine kinase family members JAK1 and JAK3. Other studies have shown that in T cells, the IL-7 receptor-specific chain associates with the Src kinases family Lck and Fyn. IL-7 induces phosphorylation of Insulin receptor substrate-1 (IRS-1) and Insulin receptor substrate-2 (IRS-2), originally called 4PS.

Application Notes

Optimal dilution of the Interleukin-7 antibody should be determined by the researcher.

Immunogen

A recombinant partial protein sequence (within amino acids 27-177) from the mature human protein was used as the immunogen for the Interleukin-7 antibody.

Storage

Aliquot the Interleukin-7 antibody and store frozen at -20oC or colder. Avoid repeated freeze-thaw cycles.

Cross
Bulk Quote Request Form
Name*:
Organization*:
Email*:
Phone Number*:
Catalog No.*:
Comments and Specifics(amount, formulation, etc.)*:
Validation code: Captchapackage Image


Can't read the image? click here to refresh.
    *required field

Your bulk quote request has been submitted successfully!

Please contact us if you have any questions.