• Tel: 858.663.9055
  • SeparatorEmail: info@nsjbio.com
  • Tel: 858.663.9055
  • Email: info@nsjbio.com
Home >> Antibodies >> Interferon alpha 1 Antibody / IFNA1

Interferon alpha 1 Antibody / IFNA1 [clone IFNA/6689] (V8790)

  Catalog No Formulation Size Price (USD)  
Image V8790-100UG 0.2 mg/ml in 1X PBS with 0.1 mg/ml BSA (US sourced), 0.05% sodium azide 100 ug 559
Image
V8790-20UG 0.2 mg/ml in 1X PBS with 0.1 mg/ml BSA (US sourced), 0.05% sodium azide 20 ug 259
Image
V8790SAF-100UG 1 mg/ml in 1X PBS; BSA free, sodium azide free 100 ug 559
Bulk quote request
IHC staining of FFPE human tonsil tissue with Interferon alpha 1 antibody (clone IFNA/6689) at 2ug/ml in PBS for 30min RT. HIER: boil tissue sections in pH 9 10mM Tris with 1mM EDTA for 20 min and allow to cool before testing.
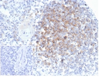
IHC staining of FFPE human spleen tissue with Interferon alpha 1 antibody (clone IFNA/6689) at 2ug/ml. Negative control inset: PBS instead of primary antibody to control for secondary binding. HIER: boil tissue sections in pH 9 10mM Tris with 1mM EDTA for 20 min and allow to cool before testing.
Availability 1-3 business days
Species Reactivity Human
Format Purified
Host Mouse
Clonality Monoclonal (mouse origin)
Isotype Mouse IgG1, kappa
Clone Name IFNA/6689
Purity Protein A/G affinity
UniProt P01562
Localization Cytoplasm, Secreted
Applications Western Blot : 1-2ug/ml
Immunohistochemistry (FFPE) : 1-2ug/ml
Limitations This Interferon alpha 1 antibody is available for research use only.
Review this product on BioCompare and get a $20 Amazon gift card

Related Products

Description

This MAb is specific for human interferon alpha 1 and does not cross react with human interferon alpha 2. Interferons are widely used therapeutic agents because of their anti-tumor and anti-viral effects and because of their modulatory effects on the immune system. These cytokines produce their effects by binding to the Type 1 Interferon- Receptor (IFNAR1). Down regulation of this receptor plays a key role in determining the magnitude and duration of cytokine signaling. This down regulation is influenced by phosphorylation of Serine 535 and 539 in the IFNAR1.Produced by macrophages, IFN-alphas have antiviral activities. Interferon stimulates the production of two enzymes: a protein kinase and an oligoadenylate synthetase

Application Notes

Optimal dilution of the Interferon alpha 1 antibody should be determined by the researcher.

Immunogen

Recombinant human IFNA1 protein was used as the immunogen for the Interferon alpha 1 antibody.

Storage

Aliquot the Interferon alpha 1 antibody and store frozen at -20oC or colder. Avoid repeated freeze-thaw cycles.

Cross
Bulk Quote Request Form
Name*:
Organization*:
Email*:
Phone Number*:
Catalog No.*:
Comments and Specifics(amount, formulation, etc.)*:
Validation code: Captchapackage Image


Can't read the image? click here to refresh.
    *required field

Your bulk quote request has been submitted successfully!

Please contact us if you have any questions.