• Tel: 858.663.9055
  • SeparatorEmail: info@nsjbio.com
  • Tel: 858.663.9055
  • Email: info@nsjbio.com
Home >> Antibodies >> Integrin beta 5 Antibody

Integrin beta 5 Antibody (F43425)

  Catalog No Formulation Size Price (USD)  
Image F43425-0.4ML In 1X PBS, pH 7.4, with 0.09% sodium azide 0.4 ml 439
Image
F43425-0.08ML In 1X PBS, pH 7.4, with 0.09% sodium azide 0.08 ml 205
Bulk quote request
Integrin beta 5 antibody western blot analysis in NCI-H460 lysate.
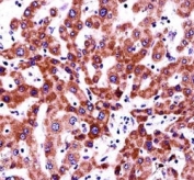
Integrin beta 5 antibody immunohistochemistry analysis in formalin fixed and paraffin embedded human liver tissue.
Availability 1-3 business days
Species Reactivity Human
Predicted Reactivity Bovine, Mouse
Format Antigen affinity purified
Host Rabbit
Clonality Polyclonal (rabbit origin)
Isotype Rabbit Ig
Purity Antigen affinity
UniProt P18084
Applications Western Blot : 1:1000
IHC (Paraffin) : 1:10-1:50
Limitations This Integrin beta 5 antibody is available for research use only.
Review this product on BioCompare and get a $20 Amazon gift card

Related Products

Description

Integrin alpha-V/beta-5 is a receptor for fibronectin. It recognizes the sequence R-G-D in its ligand.

Application Notes

Titration of the Integrin beta 5 antibody may be required due to differences in protocols and secondary/substrate sensitivity.

Immunogen

A portion of amino acids 216-244 from the human protein was used as the immunogen for this Integrin beta 5 antibody.

Storage

Aliquot the Integrin beta 5 antibody and store frozen at -20oC or colder. Avoid repeated freeze-thaw cycles.

Cross
Bulk Quote Request Form
Name*:
Organization*:
Email*:
Phone Number*:
Catalog No.*:
Comments and Specifics(amount, formulation, etc.)*:
Validation code: Captchapackage Image


Can't read the image? click here to refresh.
    *required field

Your bulk quote request has been submitted successfully!

Please contact us if you have any questions.