• Tel: 858.663.9055
  • SeparatorEmail: info@nsjbio.com
  • Tel: 858.663.9055
  • Email: info@nsjbio.com
Home >> Antibodies >> Integrase interactor 1 Antibody / INI1 / SMARCB1 / BAF47

Integrase interactor 1 Antibody / INI1 / SMARCB1 / BAF47 [clone SMARCB1/4587R] (V9475)

  Catalog No Formulation Size Price (USD)  
Image V9475-100UG 0.2 mg/ml in 1X PBS with 0.1 mg/ml BSA (US sourced), 0.05% sodium azide 100 ug 559
Image
V9475-20UG 0.2 mg/ml in 1X PBS with 0.1 mg/ml BSA (US sourced), 0.05% sodium azide 20 ug 259
Image
V9475SAF-100UG 1 mg/ml in 1X PBS; BSA free, sodium azide free 100 ug 559
Microvalidated Recrabbitmono
Bulk quote request
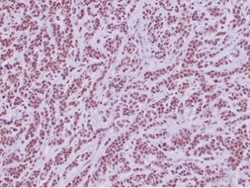
IHC staining of FFPE human epithelioid sarcoma with Integrase interactor 1 antibody (clone SMARCB1/4587R). HIER: boil tissue sections in pH 9 10mM Tris with 1mM EDTA for 20 min and allow to cool before testing.
IHC staining of FFPE human sarcoma tissue with Integrase interactor 1 antibody (clone SMARCB1/4587R) HIER: boil tissue sections in pH 9 10mM Tris with 1mM EDTA for 20 min and allow to cool before testing.
Availability 1-3 business days
Species Reactivity Human, Mouse
Format Purified
Host Rabbit
Clonality Recombinant Rabbit Monoclonal
Isotype Rabbit IgG
Clone Name SMARCB1/4587R
Purity Protein A/G affinity
UniProt Q12824
Localization Nuclear
Applications Immunohistochemistry (FFPE) : 1-2ug/ml
Limitations This Integrase interactor 1 antibody is available for research use only.
Review this product on BioCompare and get a $20 Amazon gift card

Related Products

Description

Core component of the BAF (hSWI/SNF) complex. This ATP-dependent chromatin-remodeling complex plays important roles in cell proliferation and differentiation, in cellular antiviral activities and inhibition of tumor formation. [UniProt]

Application Notes

Optimal dilution of the Integrase interactor 1 antibody should be determined by the researcher.

Immunogen

Human full-length INI1 protein was used as the immunogen for the Integrase interactor 1 antibody.

Storage

Aliquot the Integrase interactor 1 antibody and store frozen at -20oC or colder. Avoid repeated freeze-thaw cycles.

Cross
Bulk Quote Request Form
Name*:
Organization*:
Email*:
Phone Number*:
Catalog No.*:
Comments and Specifics(amount, formulation, etc.)*:
Validation code: Captchapackage Image


Can't read the image? click here to refresh.
    *required field

Your bulk quote request has been submitted successfully!

Please contact us if you have any questions.