• Tel: 858.663.9055
  • SeparatorEmail: info@nsjbio.com
  • Tel: 858.663.9055
  • Email: info@nsjbio.com
Home >> Antibodies >> IMPG2 Antibody / Interphotoreceptor matrix proteoglycan 2

IMPG2 Antibody / Interphotoreceptor matrix proteoglycan 2 (RQ8606)

  Catalog No Formulation Size Price (USD)  
Image RQ8606 0.5mg/ml if reconstituted with 0.2ml sterile DI water 100 ug 449
Bulk quote request
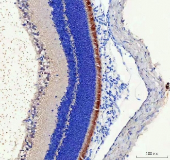
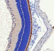
IHC staining of FFPE rat retina tissue with IMPG2 antibody. HIER: boil tissue sections in pH8 EDTA for 20 min and allow to cool before testing.
Western blot testing of 1) human HEL, 2) human K562, 3) rat testis and 4) mouse NIH 3T3 cell lysate with IMPG2 antibody. Predicted molecular weight ~139 kDa but may be observed at higher molecular weights due to glycosylation.
Availability 1-3 days
Species Reactivity Human, Mouse, Rat
Format Antigen affinity purified
Host Rabbit
Clonality Polyclonal (rabbit origin)
Isotype Rabbit IgG
Purity Antigen affinity purified
Buffer Lyophilized from 1X PBS with 2% Trehalose
UniProt Q9BZV3
Applications Western Blot : 0.5-1ug/ml
Immunohistochemistry (FFPE) : 2-5ug/ml
ELISA : 0.1-0.5ug/ml
Limitations This IMPG2 antibody is available for research use only.
Review this product on BioCompare and get a $20 Amazon gift card

Description

The protein encoded by this gene binds chondroitin sulfate and hyaluronan and is a proteoglycan. The encoded protein plays a role in the organization of the interphotoreceptor matrix and may promote the growth and maintenance of the light-sensitive photoreceptor outer segment. Defects in this gene are a cause of retinitis pigmentosa type 56 and maculopathy, IMPG2-related.

Application Notes

Optimal dilution of the IMPG2 antibody should be determined by the researcher.

Immunogen

An E.coli-derived human recombinant protein (amino acids R81-R1080) was used as the immunogen for the IMPG2 antibody.

Storage

After reconstitution, the IMPG2 antibody can be stored for up to one month at 4oC. For long-term, aliquot and store at -20oC. Avoid repeated freezing and thawing.

Cross
Bulk Quote Request Form
Name*:
Organization*:
Email*:
Phone Number*:
Catalog No.*:
Comments and Specifics(amount, formulation, etc.)*:
Validation code: Captchapackage Image


Can't read the image? click here to refresh.
    *required field

Your bulk quote request has been submitted successfully!

Please contact us if you have any questions.