• Tel: 858.663.9055
  • SeparatorEmail: info@nsjbio.com
  • Tel: 858.663.9055
  • Email: info@nsjbio.com
Home >> Antibodies >> Il6 Antibody

Il6 Antibody (R32997)

  Catalog No Formulation Size Price (USD)  
Image R32997 0.5mg/ml if reconstituted with 0.2ml sterile DI water 100 ug 449
Bulk quote request
Western blot testing of 1) rat heart and 2) mouse heart tissue lysate with Il6 antibody at 0.5ug/ml. Predicted molecular weight ~24 kDa but may be observed at higher molecular weights due to glycosylation.
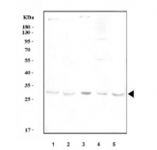
Western blot testing of 1) rat spleen, 2) mouse spleen, 3) mouse ANA-1, 4) mouse RAW264.7 and 5) mouse EL-4 cell lysate lysate with Il6 antibody at 0.5ug/ml. Predicted molecular weight ~24 kDa but may be observed at higher molecular weights due to glycosylation.
Availability 1-3 business days
Species Reactivity Mouse, Rat
Format Antigen affinity purified
Host Rabbit
Clonality Polyclonal (rabbit origin)
Isotype Rabbit IgG
Purity Antigen affinity purified
Buffer Lyophilized from 1X PBS with 2% Trehalose and 0.025% sodium azide
UniProt P20607
Applications Western Blot : 0.5-1ug/ml
Limitations This Il6 antibody is available for research use only.
Review this product on BioCompare and get a $20 Amazon gift card

Related Products

  • Applications : IHC-P
    Reactivity : Human
    Microvalidated
  • Applications : IHC-P
    Reactivity : Human
    Microvalidated
  • Applications : IHC-P
    Reactivity : Human
    Microvalidated
  • Applications : IHC-P
    Reactivity : Human
    Microvalidated
  • Applications : Neutralization Studies, FACS, IF
    Reactivity : Mouse
    Citation  Citations(10)
  • Applications : IHC-P
    Reactivity : Human
  • Applications : WB
    Reactivity : Mouse, Rat
  • Applications : WB
    Reactivity : Human
  • Applications : WB
    Reactivity : Rat
  • Applications : WB
    Reactivity : Human
  • Applications : WB, ELISA (protein)
    Reactivity : Mouse
  • Applications : WB, FACS, IHC, ELISA
    Reactivity : Human

Description

Interleukin-6 (IL-6) is a protein that in humans is encoded by the IL6 gene. IL-6 is an interleukin that acts as both a pro-inflammatory and anti-inflammatory cytokine. It is secreted by T cells and macrophages to stimulate immune response to trauma, especially burns or other tissue damage leading to inflammation. IL-6 is one of the most important mediators of fever and of the acute phase response. IL-6 is also essential for hybridoma growth and is found in many supplemental cloning media such as briclone. By in situ hybridization and Southern blot analysis of mouse-human hybrid cell lines, the IL6 gene is mapped to chromosome 7p15.

Application Notes

Optimal dilution of the Il6 antibody should be determined by the researcher.

Immunogen

Amino acids KTIQLILKALEEFLKVTMRSTRQT from the rat protein were used as the immunogen for the Il6 antibody.

Storage

After reconstitution, the Il6 antibody can be stored for up to one month at 4oC. For long-term, aliquot and store at -20oC. Avoid repeated freezing and thawing.

Cross
Bulk Quote Request Form
Name*:
Organization*:
Email*:
Phone Number*:
Catalog No.*:
Comments and Specifics(amount, formulation, etc.)*:
Validation code: Captchapackage Image


Can't read the image? click here to refresh.
    *required field

Your bulk quote request has been submitted successfully!

Please contact us if you have any questions.