• Tel: 858.663.9055
  • SeparatorEmail: info@nsjbio.com
  • Tel: 858.663.9055
  • Email: info@nsjbio.com
Home >> Antibodies >> IL36A Antibody / IL-36 alpha

IL36A Antibody / IL-36 alpha (RQ4475)

  Catalog No Formulation Size Price (USD)  
Image RQ4475 0.5mg/ml if reconstituted with 0.2ml sterile DI water 100 ug 449
Bulk quote request
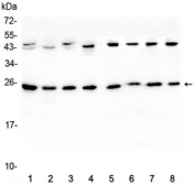
Western blot testing of 1) rat brain, 2) rat lung, 3) mouse brain, 4) mouse lung and human 5) HeLa, 6) placenta, 7) MCF7 and 8) HepG2 lystate with IL36A antibody at 0.5ug/ml. Predicted molecular weight ~17 kDa, routinely observed at 18-22 kDa.
IHC testing of FFPE human intestinal cancer with IL36A antibody at 2ug/ml. HIER: boil tissue sections in pH6, 10mM citrate buffer, for 10-20 min followed by cooling at RT for 20 min.
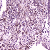
IHC testing of FFPE rat kidney with IL36A antibody at 2ug/ml. HIER: boil tissue sections in pH6, 10mM citrate buffer, for 10-20 min followed by cooling at RT for 20 min.
Availability 1-3 business days
Species Reactivity Human, Mouse, Rat
Format Antigen affinity purified
Host Rabbit
Clonality Polyclonal (rabbit origin)
Isotype Rabbit IgG
Purity Antigen affinity
Buffer Lyophilized from 1X PBS with 2% Trehalose and 0.025% sodium azide
UniProt Q9UHA7
Localization Secreted
Applications Western Blot : 0.5-1ug/ml
Immunohistochemistry (FFPE) : 1-2ug/ml
ELISA (capture) : 1-5ug/ml
Limitations This IL36A antibody is available for research use only.
Review this product on BioCompare and get a $20 Amazon gift card

Related Products

Description

Interleukin-36 alpha also known as interleukin-1 family member 6 (IL1F6) is a protein that in humans is encoded by the IL36A gene. The protein encoded by this gene is a cytokine that can activate NF-kappa-B and MAPK signaling pathways to generate an inflammatory response. The encoded protein functions primarily in skin and demonstrates increased expression in psoriasis. In addition, decreased expression of this gene has been linked to a poor prognosis in both hepatocellular carcinoma and colorectal cancer patients.

Application Notes

Optimal dilution of the IL36A antibody should be determined by the researcher.

Immunogen

Human IL-36 alpha recombinant protein (amino acids K6-D151) was used as the immunogen for the IL36A antibody.

Storage

After reconstitution, the IL36A antibody can be stored for up to one month at 4oC. For long-term, aliquot and store at -20oC. Avoid repeated freezing and thawing.

Cross
Bulk Quote Request Form
Name*:
Organization*:
Email*:
Phone Number*:
Catalog No.*:
Comments and Specifics(amount, formulation, etc.)*:
Validation code: Captchapackage Image


Can't read the image? click here to refresh.
    *required field

Your bulk quote request has been submitted successfully!

Please contact us if you have any questions.