• Tel: 858.663.9055
  • SeparatorEmail: info@nsjbio.com
  • Tel: 858.663.9055
  • Email: info@nsjbio.com
Home >> Antibodies >> CD25 Antibody / IL2RA

CD25 Antibody / IL2RA [clone IL2RA/9378R] (V5920)

  Catalog No Formulation Size Price (USD)  
Image V5920-100UG 0.2 mg/ml in 1X PBS with 0.05% BSA, 0.05% sodium azide 100 ug 559
Image
V5920-20UG 0.2 mg/ml in 1X PBS with 0.05% BSA, 0.05% sodium azide 20 ug 259
Image
V5920SAF-100UG 1 mg/ml in 1X PBS; BSA free, sodium azide free 100 ug 559
Microvalidated Recrabbitmono
Bulk quote request
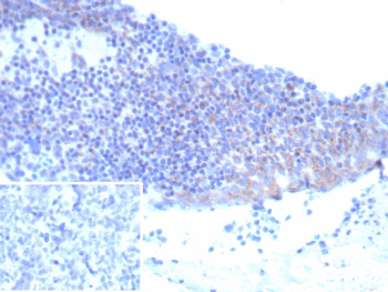
Immunohistochemistry analysis of CD25 / IL2RA antibody (clone IL2RA/9378R) in human tonsil. Formalin-fixed, paraffin-embedded human tonsil tissue shows membranous and cytoplasmic brown chromogenic staining in scattered lymphoid cells, consistent with IL2RA-positive immune cell populations. Inset shows a PBS-only negative control processed without primary antibody, demonstrating minimal non-specific background staining.
SDS-PAGE Analysis of purified recombinant CD25/IL2RA antibody (clone IL2RA/9378R). Confirmation of Purity and Integrity of Antibody.
Species Reactivity Human
Format Purified
Host Rabbit
Clonality Recombinant Rabbit Monoclonal
Isotype Rabbit IgG, kappa
Clone Name IL2RA/9378R
UniProt P01589
Localization Cell membrane, Cytoplasm
Applications Immunohistochemistry (FFPE) : 1-2ug/ml
Limitations This CD25/IL2RA antibody is available for research use only.
Review this product on BioCompare and get a $20 Amazon gift card

Related Products

Description

CD25 antibody targets Interleukin-2 receptor subunit alpha (IL2RA), a type I transmembrane cytokine receptor component that forms the high-affinity interleukin-2 receptor complex together with IL2RB and IL2RG. IL2RA, also widely known as CD25, is primarily localized to the cell membrane and plays a central role in regulating immune activation and cytokine responsiveness. Expression of CD25 is minimal on resting lymphocytes but is rapidly induced following antigen stimulation, making an IL2RA antibody a widely used tool for studying immune activation dynamics.

Interleukin-2 receptor subunit alpha belongs to the type I cytokine receptor family and lacks intrinsic kinase activity, instead functioning by increasing the affinity of the receptor complex for interleukin-2 and enabling downstream signaling through JAK-STAT pathways. CD25 is constitutively expressed at high levels on regulatory T cells, where it supports immune tolerance and suppression of excessive immune responses. Detection with a CD25 / IL2RA antibody is therefore commonly used to identify regulatory T cell populations and to investigate immune homeostasis mechanisms.

Beyond T lymphocytes, IL2RA expression has been observed in activated B cells and certain antigen-presenting cell populations, reflecting broader roles in immune regulation. Altered expression of Interleukin-2 receptor subunit alpha has been linked to autoimmune disease, inflammatory disorders, and hematologic malignancies, highlighting its relevance in immunopathology research. A CD25 antibody enables analysis of IL2RA expression patterns in immune tissues and disease-associated microenvironments.

Structurally, Interleukin-2 receptor subunit alpha is a glycoprotein with an extracellular cytokine-binding domain, a single transmembrane region, and a short cytoplasmic tail. Because IL2RA expression reflects immune activation state rather than antigen specificity, antibody-based detection of CD25 provides a direct readout of cytokine receptor engagement and immune cell activation. Clone IL2RA/9378R is designed to recognize Interleukin-2 receptor subunit alpha and supports detection of IL2RA expression in research applications. NSJ Bioreagents offers this CD25 antibody for studies of immune regulation, cytokine signaling, and T cell biology.

Application Notes

Optimal dilution of the CD25/IL2RA antibody should be determined by the researcher.

Immunogen

A recombinant fragment (around amino acids 1-250) of human IL2RA protein (exact sequence is proprietary) was used as the immunogen for the CD25/IL2RA antibody.

Storage

CD25/IL2RA antibody with sodium azide - store at 2 to 8oC; antibody without sodium azide - store at -20 to -80oC.

Cross
Bulk Quote Request Form
Name*:
Organization*:
Email*:
Phone Number*:
Catalog No.*:
Comments and Specifics(amount, formulation, etc.)*:
Validation code: Captchapackage Image


Can't read the image? click here to refresh.
    *required field

Your bulk quote request has been submitted successfully!

Please contact us if you have any questions.