• Tel: 858.663.9055
  • SeparatorEmail: info@nsjbio.com
  • Tel: 858.663.9055
  • Email: info@nsjbio.com
Home >> Antibodies >> IL-31 Antibody / Interleukin 31

IL-31 Antibody / Interleukin 31 (F55110)

  Catalog No Formulation Size Price (USD)  
Image F55110-0.4ML In 1X PBS, pH 7.4, with 0.09% sodium azide 0.4 ml 439
Image
F55110-0.08ML In 1X PBS, pH 7.4, with 0.09% sodium azide 0.08 ml 205
Bulk quote request
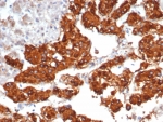
IHC staining of FFPE human testis tissue with IL-31 antibody. HIER: steam section in pH6 citrate buffer for 20 min and allow to cool prior to staining.
Western blot testing of human 1) K562 and 2) placenta tissue lysate with IL-31 antibody. Predicted molecular weight ~18 kDa.
Flow cytometry testing of human WiDr cells with IL-31 antibody; Blue=isotype control, Green= IL-31 antibody.
Availability 1-2 business days
Species Reactivity Human
Format Purified
Host Rabbit
Clonality Polyclonal (rabbit origin)
Isotype Rabbit Ig
Purity Antigen affinity
UniProt Q6EBC2
Localization Secreted
Applications Western Blot : 1:500-1:1000
Immunohistochemistry (FFPE) : 1:50-1:100
Flow Cytometry : 1:10-1:50 per million cells in 0.1ml
Limitations This IL-31 antibody is available for research use only.
Review this product on BioCompare and get a $20 Amazon gift card

Related Products

Description

Interleukin 31 (IL-31) is a cytokine that plays a critical role in inflammatory responses and allergic reactions in the body. IL-31 is produced by T-helper 2 (Th2) cells, which are involved in the body's response to allergens and parasites. When released, IL-31 binds to receptors on various cells in the body, triggering a cascade of inflammatory responses that can lead to symptoms such as itching, redness, and swelling. Studies have shown that IL-31 is particularly important in the development of atopic dermatitis, a common skin condition characterized by itchy, inflamed skin. In individuals with atopic dermatitis, levels of IL-31 are often elevated in the skin, leading to increased inflammation and itching. Additionally, IL-31 has also been implicated in other inflammatory conditions such as asthma and inflammatory bowel disease, highlighting its importance in the body's immune response.

Application Notes

The stated application concentrations are suggested starting points. Titration of the IL-31 antibody may be required due to differences in protocols and secondary/substrate sensitivity.

Immunogen

A portion of amino acids 13-40 from the human protein was used as the immunogen for the IL-31 antibody.

Storage

Aliquot the IL-31 antibody and store frozen at -20oC or colder. Avoid repeated freeze-thaw cycles.

Cross
Bulk Quote Request Form
Name*:
Organization*:
Email*:
Phone Number*:
Catalog No.*:
Comments and Specifics(amount, formulation, etc.)*:
Validation code: Captchapackage Image


Can't read the image? click here to refresh.
    *required field

Your bulk quote request has been submitted successfully!

Please contact us if you have any questions.