• Tel: 858.663.9055
  • SeparatorEmail: info@nsjbio.com
  • Tel: 858.663.9055
  • Email: info@nsjbio.com
Home >> Antibodies >> Il-16 Antibody

Il-16 Antibody (R32904)

  Catalog No Formulation Size Price (USD)  
Image R32904 0.5mg/ml if reconstituted with 0.2ml sterile DI water 100 ug 449
Bulk quote request
Western blot testing of recombinant mouse partial protein with Il-16 antibody at 0.5ug/ml.
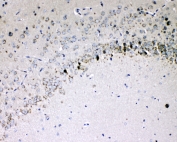
IHC staining of FFPE mouse brain with Il-16 antibody at 1ug/ml. HIER: boil tissue sections in pH6, 10mM citrate buffer, for 10-20 min followed by cooling at RT for 20 min.
IHC staining of FFPE rat brain with Il-16 antibody at 1ug/ml. HIER: boil tissue sections in pH6, 10mM citrate buffer, for 10-20 min followed by cooling at RT for 20 min.
IHC staining of FFPE rat spleen with Il-16 antibody at 1ug/ml. HIER: boil tissue sections in pH6, 10mM citrate buffer, for 10-20 min followed by cooling at RT for 20 min.
Availability 1-3 business days
Species Reactivity Mouse
Format Antigen affinity purified
Host Rabbit
Clonality Polyclonal (rabbit origin)
Isotype Rabbit IgG
Purity Antigen affinity
Buffer Lyophilized from 1X PBS with 2.5% BSA, 0.025% sodium azide
UniProt O54824
Localization Cytoplasmic, nuclear, secreted
Applications Western Blot : 0.5-1ug/ml
IHC (FFPE) : 1-2ug/ml
ELISA (recombinant Mouse Protein) : 0.1-0.5ug/ml (BSA-free format available)
Limitations This Il-16 antibody is available for research use only.
Review this product on BioCompare and get a $20 Amazon gift card

Related Products

  • Applications : WB, IHC-P, ICC, ELISA
    Reactivity : Human

Description

Interleukin 16 (IL-16) is a cytokine that released by a variety of cells (including lymphocytes and some epithelial cells) that has been characterized as a chemoattractant for certain immune cells expressing the cell surface molecule CD4. It is mapped to 15q25.1. IL-16 was originally described as a factor that could attract activated T cells in humans. It was previously called lymphocyte chemoattractant factor (LCF), and the augmentation of IL16 stimulation by CCR5 plays a role in regulation of Th1 cell recruitment and activation at sites of inflammation.

Application Notes

Optimal dilution of the Il-16 antibody should be determined by the researcher.

Immunogen

A recombinant mouse protein corresponding to amino acids S1205-S1322 was used as the immunogen for the Il-16 antibody.

Storage

After reconstitution, the Il-16 antibody can be stored for up to one month at 4oC. For long-term, aliquot and store at -20oC. Avoid repeated freezing and thawing.

Cross
Bulk Quote Request Form
Name*:
Organization*:
Email*:
Phone Number*:
Catalog No.*:
Comments and Specifics(amount, formulation, etc.)*:
Validation code: Captchapackage Image


Can't read the image? click here to refresh.
    *required field

Your bulk quote request has been submitted successfully!

Please contact us if you have any questions.