• Tel: 858.663.9055
  • SeparatorEmail: info@nsjbio.com
  • Tel: 858.663.9055
  • Email: info@nsjbio.com
Home >> Antibodies >> IKK alpha/beta Antibody

IKK alpha/beta Antibody [clone FCC-3] (RQ4722)

  Catalog No Formulation Size Price (USD)  
Image RQ4722 Antibody in PBS with 0.02% sodium azide, 50% glycerol and 0.4-0.5mg/ml BSA 100 ul 449
Microvalidated Rab Mono Image
Bulk quote request
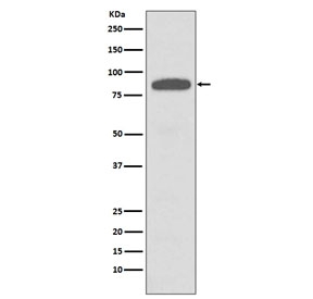
Western blot testing of human A431 cell lysate with IKK alpha/beta antibody. Predicted molecular weight ~85 kDa.
Availability 1-2 weeks
Species Reactivity Human, Mouse, Rat
Format Purified
Host Rabbit
Clonality Rabbit Monoclonal
Isotype Rabbit IgG
Clone Name FCC-3
Purity Affinity purified
UniProt O15111
Applications Western Blot : 1:500-1:1000
Limitations This IKK alpha/beta antibody is available for research use only.
Review this product on BioCompare and get a $20 Amazon gift card

Related Products

  • Applications : WB
    Reactivity : Human
    Rab Mono Image
  • Applications : WB, FACS
    Reactivity : Human
  • Applications : WB, IHC-P
    Reactivity : Human
  • Applications : WB, ELISA (peptide)
    Reactivity : Human

Description

The IkappaB kinase complex is composed of three subunits each encoded by a separate gene: IKK alpha (also known as IKK1 and CHUK), IKK beta (also known as IKK2 and IKBKB), and IKK gamma (also known as NEMO/ and IKBKG). The alpha- and beta- subunits together are catalytically active whereas the gamma-subunit serves a regulatory function. The IKKa and IKKb kinase subunits are homologous in structure, composed of a kinase domain, as well as leucine zipper and helix-loop-helix dimerization domains, and a carboxy-terminal NEMO-binding domain (NBD). [Wiki]

Application Notes

Optimal dilution of the IKK alpha/beta antibody should be determined by the researcher.

Immunogen

A synthetic peptide amino acid sequence specifc for and common to human IKK alpha and beta was used as the immunogen for the IKK alpha/beta antibody.

Storage

Store the IKK alpha/beta antibody at -20oC.

Cross
Bulk Quote Request Form
Name*:
Organization*:
Email*:
Phone Number*:
Catalog No.*:
Comments and Specifics(amount, formulation, etc.)*:
Validation code: Captchapackage Image


Can't read the image? click here to refresh.
    *required field

Your bulk quote request has been submitted successfully!

Please contact us if you have any questions.