• Tel: 858.663.9055
  • SeparatorEmail: info@nsjbio.com
  • Tel: 858.663.9055
  • Email: info@nsjbio.com
Home >> Antibodies >> IGFBP3 Antibody

IGFBP3 Antibody (R31990)

  Catalog No Formulation Size Price (USD)  
Image R31990 0.5mg/ml if reconstituted with 0.2ml sterile DI water 100 ug 449
Bulk quote request
Western blot testing of 1) rat heart, 2) rat brain, 3) rat liver, 4) rat PC-12, 5) human U-87 MG, 6) mouse kidney, 7) mouse heart and 8) mouse brain lysate with IGFBP3 antibody. Expected molecular weight: 31-44 kDa depending on level of glycosylation.
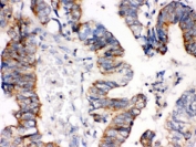
IHC testing of FFPE human intestinal cancer tissue with IGFBP3 antibody. HIER: Boil the paraffin sections in pH 6, 10mM citrate buffer for 20 minutes and allow to cool prior to staining.
Availability 1-3 business days
Species Reactivity Human, Mouse, Rat
Format Antigen affinity purified
Host Rabbit
Clonality Polyclonal (rabbit origin)
Isotype Rabbit IgG
Purity Antigen affinity
Buffer Lyophilized from 1X PBS with 2.5% BSA and 0.025% sodium azide
UniProt P17936
Localization Secreted
Applications Western Blot : 0.1-0.5ug/ml
IHC (FFPE) : 0.5-1ug/ml
ELISA : 0.1-0.5ug/ml (human protein tested); request BSA-free format for coating
Limitations This IGFBP3 antibody is available for research use only.
Review this product on BioCompare and get a $20 Amazon gift card

Related Products

  • Applications : IF, FACS
    Reactivity : Human
    Microvalidated
  • Applications : IHC-P
    Reactivity : Human
    Microvalidated
  • Applications : IHC-P
    Reactivity : Human
    Microvalidated
  • Applications : WB
    Reactivity : Human, Rat
  • Applications : WB, IHC, ELISA
    Reactivity : Human
    Pred. Reactivity : Rat
  • Applications : WB, ELISA
    Reactivity : Human, Hamster, Mouse
    Pred. Reactivity : Bovine, Pig
  • Applications : WB, ELISA (peptide)
    Reactivity : Human
    Pred. Reactivity : Mouse, Rat, Dog
  • Applications : WB, ELISA (capture)
    Reactivity : Human
  • Applications : WB, Direct ELISA
    Reactivity : Rat

Description

IGFBP3, Insulin-like growth fator-binding protein 3, is a member of the insulin-like growth factor binding protein (IGFBP) family and encodes a protein with an IGFBP domain and a thyroglobulin type-I domain. IGFBP3 is located on chromosome 7. The protein forms a ternary complex with insulin-like growth factor acid-labile subunit (IGFALS) and either insulin-like growth factor (IGF) I or II. In this form, it circulates in the plasma, prolonging the half-life of IGFs and altering their interaction with cell surface receptors. Alternate transcriptional splice variants, encoding different isoforms, have been characterized.

Application Notes

Optimal dilution of the IGFBP3 antibody should be determined by the researcher.

Immunogen

Amino acids RREMEDTLNHLKFLNVLSPRGVHIPNCDKKGFYKKKQCR of human IGFBP3 were used as the immunogen for the IGFBP3 antibody.

Storage

After reconstitution, the IGFBP3 antibody can be stored for up to one month at 4oC. For long-term, aliquot and store at -20oC. Avoid repeated freezing and thawing.

Cross
Bulk Quote Request Form
Name*:
Organization*:
Email*:
Phone Number*:
Catalog No.*:
Comments and Specifics(amount, formulation, etc.)*:
Validation code: Captchapackage Image


Can't read the image? click here to refresh.
    *required field

Your bulk quote request has been submitted successfully!

Please contact us if you have any questions.