- Tel: 858.663.9055
- 
									 Email: info@nsjbio.com Email: info@nsjbio.com
- Tel: 858.663.9055
- Email: info@nsjbio.com
 Email: info@nsjbio.com
Email: info@nsjbio.com
								Related Products
| 
 | 
Insulin-like Growth Factor 1 Receptor is a protein found on the surface of human cells. It is a transmembrane receptor that is activated by a hormone called Insulin-like growth factor 1(IGF-1) and by a related hormone called IGF-2. It belongs to the large class of tyrosine kinase receptors. IGF-1 plays an important role in growth and continues to have anabolic effects in adults - meaning that it can induce hypertrophy of skeletal muscle and other target tissues. Using a yeast 2-hybrid system, Dey et al.(1998) identified a regulatory subunit of phosphatidylinositol(PI) 3-kinase, PIK3R3, as a binding partner of IGF1R. Functional interaction between BRCA1 and SP1 in the regulation of the IGF1R gene was studied in Schneider cells, a Drosophila cell line which lacks endogenous SP1. In these cells, BRCA1 suppressed 45% of the SP1-induced trans-activation of the IGF1R promoter. Overexpression of the Grb10-binding fragment of Gigyf1 resulted in a significant increase in Igf1-stimulated Igf1r tyrosine phosphorylation. Like the insulin receptor, the IGF-1 receptor is a receptor tyrosine kinase - meaning it signals by causing the addition of a phosphate molecule on particular tyrosines. IGF-1 activates the Insulin receptor at approximately 0.1x the potency of insulin. Part of this signaling may be via IGF1R-Insulin Receptor heterodimers.
The stated application concentrations are suggested starting amounts. Titration of the IGF1R antibody may be required due to differences in protocols and secondary/substrate sensitivity.
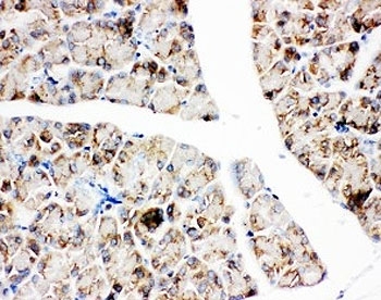
An amino acid sequence from the C-terminus of human IGF1 Receptor (RKNERALPLPQSSTC) was used as the immunogen for this IGF1R antibody.
After reconstitution, the IGF1R antibody can be stored for up to one month at 4oC. For long-term, aliquot and store at -20oC. Avoid repeated freezing and thawing.
 
Your bulk quote request has been submitted successfully!
Please contact us if you have any questions.