• Tel: 858.663.9055
  • SeparatorEmail: info@nsjbio.com
  • Tel: 858.663.9055
  • Email: info@nsjbio.com
Home >> Antibodies >> IFT88 Antibody

IFT88 Antibody (F41236)

  Catalog No Formulation Size Price (USD)  
Image F41236-0.4ML In 1X PBS, pH 7.4, with 0.09% sodium azide 0.4 ml 439
Image
F41236-0.08ML In 1X PBS, pH 7.4, with 0.09% sodium azide 0.08 ml 205
Bulk quote request
IFT88 antibody western blot analysis in CEM lysate. Predicted molecular weight ~94 kDa.
IFT88 antibody western blot analysis in mouse testis tissue lysate. Predicted molecular weight ~94 kDa.
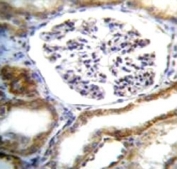
IFT88 antibody immunohistochemistry analysis in formalin fixed and paraffin embedded human kidney tissue.
Confocal immunofluorescent analysis of IFT88 antibody with HepG2 cells followed by Alexa Fluor 488-conjugated goat anti-rabbit lgG (green). Actin filaments have been labeled with Alexa Fluor555 Phalloidin (red). DAPI was used as a nuclear counterstain (blue).
Availability 1-3 business days
Species Reactivity Human, Mouse
Format Antigen affinity purified
Host Rabbit
Clonality Polyclonal (rabbit origin)
Isotype Rabbit Ig
Purity Antigen affinity
UniProt Q13099
Applications Western Blot : 1:1000
IHC (Paraffin) : 1:10-1:50
Immunofluorescence : 1:10-1:50
Limitations This IFT88 antibody is available for research use only.
Review this product on BioCompare and get a $20 Amazon gift card

Related Products

Description

This gene encodes a member of the tetratrico peptide repeat (TPR) family. Mutations of a similar gene in mouse can cause polycystic kidney disease. Two transcript variants encoding distinct isoforms have been identified for this gene. [provided by RefSeq].

Application Notes

Titration of the IFT88 antibody may be required due to differences in protocols and secondary/substrate sensitivity.

Immunogen

A portion of amino acids 791-820 from the human protein was used as the immunogen for this IFT88 antibody.

Storage

Aliquot the IFT88 antibody and store frozen at -20oC or colder. Avoid repeated freeze-thaw cycles.

Cross
Bulk Quote Request Form
Name*:
Organization*:
Email*:
Phone Number*:
Catalog No.*:
Comments and Specifics(amount, formulation, etc.)*:
Validation code: Captchapackage Image


Can't read the image? click here to refresh.
    *required field

Your bulk quote request has been submitted successfully!

Please contact us if you have any questions.