- Tel: 858.663.9055
- 
									 Email: info@nsjbio.com Email: info@nsjbio.com
- Tel: 858.663.9055
- Email: info@nsjbio.com
 Email: info@nsjbio.com
Email: info@nsjbio.com
								Related Products
| 
 | 
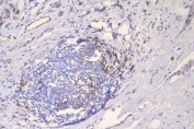
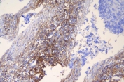
CD54, also known as Intercellular adhesion molecule-1 (ICAM1) is a ligand for lymphocyte function-associated (LFA) antigens. ICAM-1 is an integral membrane protein, a member of the immunoglobulin superfamily, and a ligand for LFA-1, a beta 2 leukocyte integrin. This protein is the major human rhinovirus receptor. The ICAM1 gene is mapped to human chromosome 19. In humans, lymphocyte adhesion to cells is mediated by the protein heterodimer CD11a/CD18 (Leu-CAMa, LFA-1) and its ligand CD54 (ICAM-1).
Optimal dilution of the ICAM1 antibody should be determined by the researcher.
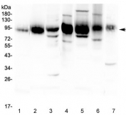
A recombinant human partial protein corresponding to amino acids Q28-R268 was used as the immunogen for the ICAM1 antibody.
After reconstitution, the ICAM1 antibody can be stored for up to one month at 4oC. For long-term, aliquot and store at -20oC. Avoid repeated freezing and thawing.
 
Your bulk quote request has been submitted successfully!
Please contact us if you have any questions.