• Tel: 858.663.9055
  • SeparatorEmail: info@nsjbio.com
  • Tel: 858.663.9055
  • Email: info@nsjbio.com
Home >> Antibodies >> IBA1 Antibody / AIF1 Microglia Marker Antibody

IBA1 Antibody / AIF1 Microglia Marker Antibody [clone AIF1/1909] (V3830)

  Catalog No Formulation Size Price (USD)  
Image V3830-100UG 0.2 mg/ml in 1X PBS with 0.1 mg/ml BSA (US sourced) and 0.05% sodium azide 100 ug 559
Image
V3830-20UG 0.2 mg/ml in 1X PBS with 0.1 mg/ml BSA (US sourced) and 0.05% sodium azide 20 ug 259
Image
V3830SAF-100UG 1 mg/ml in 1X PBS; BSA free, sodium azide free 100 ug 559
Microvalidated
Bulk quote request
IBA1 Antibody Human Lymph Node IHC. Immunohistochemistry analysis of FFPE human lymph node tissue using IBA1 Antibody (clone AIF1/1909) shows strong HRP-DAB brown cytoplasmic staining in macrophages and dendritic-like cells within paracortical and sinusoidal regions, highlighting AIF1 / IBA1 expression in tissue-resident immune cells that share functional lineage with microglia, consistent with its role as a microglia marker and macrophage activation marker; nuclei are counterstained blue. HIER: boil tissue sections in pH 6 citrate buffer for 10-20 min and allow to cool before testing.
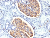
IBA1 Antibody Human Kidney IHC. Immunohistochemistry analysis of FFPE human kidney tissue using IBA1 Antibody (clone AIF1/1909) demonstrates HRP-DAB brown cytoplasmic staining in interstitial macrophages and mononuclear cells surrounding renal tubules and glomeruli, while tubular epithelial cells remain largely negative, highlighting AIF1 / IBA1 expression in tissue-resident macrophages that are functionally analogous to microglia, consistent with its role as a microglia marker and immune activation marker; nuclei are counterstained blue. HIER: boil tissue sections in pH 6 citrate buffer for 10-20 min and allow to cool before testing.
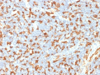
IBA1 Antibody Human Tonsil IHC. Immunohistochemistry analysis of FFPE human tonsil tissue using IBA1 Antibody (clone AIF1/1909) shows HRP-DAB brown cytoplasmic staining in scattered macrophages and dendritic-like cells within germinal centers and interfollicular regions, while lymphocytes remain largely negative, highlighting AIF1 / IBA1 expression in immune cell populations that share functional lineage with microglia, consistent with its role as a microglia marker and macrophage activation marker; nuclei are counterstained blue. HIER: boil tissue sections in pH 6 citrate buffer for 10-20 min and allow to cool before testing.
IBA1 Antibody Microarray Specificity Validation. Analysis of HuProt(TM) microarray containing more than 19,000 full-length human proteins using IBA1 Antibody (clone AIF1/1909) demonstrates highly specific detection of AIF1 / IBA1, a microglia marker and macrophage lineage protein. The antibody shows a dominant signal for AIF1 with a Z-score of 94.75 and an S-score of 81.96, indicating strong separation from all other proteins on the array and supporting high target specificity. Z- and S-score explanation: The Z-score reflects the strength of signal generated when the antibody binds to a protein on the array, expressed as standard deviations above the mean signal, while the S-score represents the difference between sequential Z-scores and indicates relative specificity compared to potential off-target interactions.
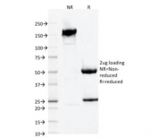
SDS-PAGE analysis of purified, BSA-free IBA1 antibody clone AIF1/1909 as confirmation of integrity and purity.
Availability 1-3 business days
Species Reactivity Human
Format Purified
Host Mouse
Clonality Monoclonal (mouse origin)
Isotype Mouse IgG1, kappa
Clone Name AIF1/1909
Purity Protein G affinity chromatography
UniProt P55008
Localization Cytoplasmic, membranous
Applications Immunohistochemistry (FFPE) : 1-2ug/ml for 30 min at RT
Limitations This IBA1 Antibody / AIF1 Microglia Marker Antibody is available for research use only.
Review this product on BioCompare and get a $20 Amazon gift card

Related Products

Description

Allograft inflammatory factor 1 (AIF1) is a calcium-binding cytoplasmic protein expressed in macrophages and microglia, representing a conserved immune cell lineage marker widely used to identify microglia in the central nervous system and tissue-resident macrophages in peripheral organs. IBA1 Antibody / AIF1 Microglia Marker Antibody (clone AIF1/1909) targets this protein, which is predominantly localized to the cytoplasm of monocyte-derived cells, including tissue macrophages and lymphoid populations. IBA1 antibody, also referred to as AIF1 antibody and Allograft inflammatory factor 1 antibody in the literature, detects a key regulator of immune cell activation, migration, and inflammatory signaling. This antibody is part of a collection of Human Protein Microarray validated antibodies that have been screened for specificity across thousands of proteins.

Functionally, AIF1 plays a central role in macrophage activation and cytoskeletal remodeling. It participates in actin-bundling processes that support membrane ruffling, phagocytosis, and cell motility, enabling immune cells to respond to tissue injury and inflammatory stimuli. AIF1 expression is upregulated in activated macrophages and is closely associated with immune response pathways, including cytokine production and inflammatory signaling cascades. These functions make AIF1 a widely used marker for identifying activated immune cells in both normal and pathological tissues.

IBA1 expression is prominently observed in lymphoid and immune-rich tissues such as tonsil and lymph node, where it highlights macrophage and dendritic-like populations within germinal centers and interfollicular regions. In kidney and other peripheral tissues, AIF1-positive cells are typically associated with resident or infiltrating immune cells involved in inflammatory surveillance. While AIF1 is also well established as a microglia marker in the central nervous system, its expression in peripheral macrophages provides a broader context for studying immune activation across multiple organ systems. The AIF1 gene is located on chromosome 6p21.3 within the major histocompatibility complex region, consistent with its role in immune regulation.

Structurally, AIF1 contains EF-hand calcium-binding motifs that regulate its interaction with cytoskeletal elements and intracellular signaling pathways. These domains enable calcium-dependent modulation of actin dynamics, supporting cell shape changes and motility. AIF1 has been shown to co-localize with actin filaments and membrane-associated structures, reinforcing its role in immune cell activation and migration. In addition to structural functions, AIF1 participates in signaling pathways that regulate inflammatory gene expression and cellular activation states.

Altered AIF1 expression is associated with a range of inflammatory and disease conditions, including transplant rejection, autoimmune disorders, and tumor-associated macrophage activity. In the central nervous system, increased IBA1 expression is a hallmark of microglial activation in neurodegenerative diseases, while in peripheral tissues it reflects macrophage-mediated inflammatory responses. This dual role highlights AIF1 as a versatile marker of immune activation across diverse biological contexts.

This antibody provides reliable detection of IBA1 / AIF1 in macrophage and microglia populations, with strong performance in lymphoid and peripheral tissues where immune cell infiltration and activation are prominent. An IBA1 antibody is suitable for detecting this immune activation marker in research applications involving inflammation, macrophage biology, and neuroimmune signaling.

This antibody is part of a broader antibody panel offered by NSJ Bioreagents.

Application Notes

Titering of the IBA1 Antibody / AIF1 Microglia Marker Antibody may be required for optimal performance.

Immunogen

A portion of amino acids 1-146 from the human protein was used as the immunogen for the IBA1 antibody.

Storage

Store the IBA1 antibody at 2-8oC (with azide) or aliquot and store at -20oC or colder (without azide).

Alternate Names

AIF1 antibody, Allograft inflammatory factor 1 antibody, IBA1 microglia antibody, IBA1 macrophage antibody, AIF1 inflammation marker antibody

Cross
Bulk Quote Request Form
Name*:
Organization*:
Email*:
Phone Number*:
Catalog No.*:
Comments and Specifics(amount, formulation, etc.)*:
Validation code: Captchapackage Image


Can't read the image? click here to refresh.
    *required field

Your bulk quote request has been submitted successfully!

Please contact us if you have any questions.