• Tel: 858.663.9055
  • SeparatorEmail: info@nsjbio.com
  • Tel: 858.663.9055
  • Email: info@nsjbio.com
Home >> Antibodies >> HTRA2 Antibody

HTRA2 Antibody [clone EEH-8] (RQ4736)

  Catalog No Formulation Size Price (USD)  
Image RQ4736 Antibody in PBS with 0.02% sodium azide, 50% glycerol and 0.4-0.5mg/ml BSA 100 ul 449
Microvalidated Rab Mono Image
Bulk quote request
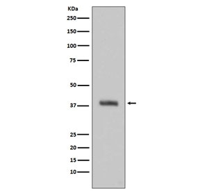
Western blot testing of human Jurkat cell lysate with HTRA2 antibody. Predicted molecular weight: 38-49 kDa.
Availability 1-2 weeks
Species Reactivity Human
Format Purified
Host Rabbit
Clonality Rabbit Monoclonal
Isotype Rabbit IgG
Clone Name EEH-8
Purity Affinity purified
UniProt O43464
Applications Western Blot : 1:500-1:2000
Limitations This HTRA2 antibody is available for research use only.
Review this product on BioCompare and get a $20 Amazon gift card

Related Products

Description

The HTRA2 gene encodes a serine protease. The protein has been localized in the endoplasmic reticulum and interacts with an alternatively spliced form of mitogen-activated protein kinase 14. The protein has also been localized to the mitochondria with release to the cytosol following apoptotic stimulus. The protein is thought to induce apoptosis by binding the apoptosis inhibitory protein baculoviral IAP repeat-containing 4. [RefSeq]

Application Notes

Optimal dilution of the HTRA2 antibody should be determined by the researcher.

Immunogen

A synthetic peptide specific to human HTRA2 / Omi was used as the immunogen for the HTRA2 antibody.

Storage

Store the HTRA2 antibody at -20oC.

Cross
Bulk Quote Request Form
Name*:
Organization*:
Email*:
Phone Number*:
Catalog No.*:
Comments and Specifics(amount, formulation, etc.)*:
Validation code: Captchapackage Image


Can't read the image? click here to refresh.
    *required field

Your bulk quote request has been submitted successfully!

Please contact us if you have any questions.