• Tel: 858.663.9055
  • SeparatorEmail: info@nsjbio.com
  • Tel: 858.663.9055
  • Email: info@nsjbio.com
Home >> Antibodies >> HTRA1 Antibody

HTRA1 Antibody (F54502)

  Catalog No Formulation Size Price (USD)  
Image F54502-0.2ML In 1X PBS, pH 7.4, with 0.09% sodium azide 0.2 ml 439
Image
F54502-0.05ML In 1X PBS, pH 7.4, with 0.09% sodium azide 0.05 ml 205
Bulk quote request
Immunofluorescent staining of human HeLa cells with HTRA1 antibody (green) and DAPI nuclear stain (blue).
Western blot testing of human HeLa cell lysate with HTRA1 antibody. Predicted molecular weight ~51 kDa.
Western blot testing of mouse brain lysate with HTRA1 antibody. Predicted molecular weight ~51 kDa.
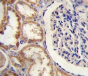
IHC testing of FFPE human kidney tissue with HTRA1 antibody. HIER: steam section in pH6 citrate buffer for 20 min and allow to cool prior to staining.
Availability 1-3 business days
Species Reactivity Human, Mouse
Format Purified
Host Rabbit
Clonality Polyclonal (rabbit origin)
Isotype Rabbit Ig
Purity Purified
UniProt Q92743
Localization Cytoplasmic, cell membrane
Applications Western Blot : 1:500-1:2000
Immunofluorescence : 1:25
Immunohistochemistry (FFPE) : 1:25
Limitations This HTRA1 antibody is available for research use only.
Review this product on BioCompare and get a $20 Amazon gift card

Related Products

Description

HtrA1 is a member of the trypsin family of serine proteases. This protein is a secreted enzyme that is proposed to regulate the availability of insulin-like growth factors (IGFs) by cleaving IGF-binding proteins. It has also been suggested to be a regulator of cell growth.

Application Notes

The stated application concentrations are suggested starting points. Titration of the HtrA1 antibody may be required due to differences in protocols and secondary/substrate sensitivity.

Immunogen

A portion of amino acids 116-147 from the human protein was used as the immunogen for the HTRA1 antibody.

Storage

Aliquot the HTRA1 antibody and store frozen at -20oC or colder. Avoid repeated freeze-thaw cycles.

Cross
Bulk Quote Request Form
Name*:
Organization*:
Email*:
Phone Number*:
Catalog No.*:
Comments and Specifics(amount, formulation, etc.)*:
Validation code: Captchapackage Image


Can't read the image? click here to refresh.
    *required field

Your bulk quote request has been submitted successfully!

Please contact us if you have any questions.