• Tel: 858.663.9055
  • SeparatorEmail: info@nsjbio.com
  • Tel: 858.663.9055
  • Email: info@nsjbio.com
Home >> Antibodies >> Hsp60 Antibody

Hsp60 Antibody (F54325)

  Catalog No Formulation Size Price (USD)  
Image F54325-0.2ML In 1X PBS, pH 7.4, with 0.09% sodium azide 0.2 ml 439
Image
F54325-0.05ML In 1X PBS, pH 7.4, with 0.09% sodium azide 0.05 ml 205
Bulk quote request
Western blot testing of human 1) HeLa, 2) MCF7, 3) HepG2, 4) Jurkat, 5) mouse NIH 3T3 and 6) mouse thymus lysate with Hsp60 antibody. Predicted molecular weight: ~60 kDa.
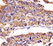
IHC testing of FFPE human lung adenocarcinoma tissue with Hsp60 antibody. HIER: steam section in pH6 citrate buffer for 20 min and allow to cool prior to staining.
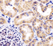
IHC testing of FFPE human kidney tissue with Hsp60 antibody. HIER: steam section in pH6 citrate buffer for 20 min and allow to cool prior to staining.
Immunofluorescent staining of fixed and permeabilized human HepG2 cells with Hsp60 antibody (green), DAPI nuclear stain (blue) and anti-Actin (red).
Availability 1-3 business days
Species Reactivity Human, Mouse
Format Purified
Host Rabbit
Clonality Polyclonal (rabbit origin)
Isotype Rabbit Ig
Purity Antigen affinity purified
UniProt P10809
Localization Cytoplasmic
Applications Western Blot : 1:500-1:2000
Immunohistochemistry (FFPE) : 1:25
Immunofluorescence : 1:25
Limitations This Hsp60 antibody is available for research use only.
Review this product on BioCompare and get a $20 Amazon gift card

Related Products

  • Applications : WB, IHC-P
    Reactivity : Human
    Recmousemono
    Microvalidated
  • Applications : WB, IHC-P
    Reactivity : Human, Dog
    Recrabbitmono
  • Applications : IF, WB, IHC-P
    Reactivity : Human
    Microvalidated
  • Applications : FACS, IF, WB, IHC-P
    Reactivity : Human, Mouse, Rat
    Citation  Citations(8)
  • Applications : IF, WB, IHC-P
    Reactivity : Human
    Citation  Citations(9)
  • Applications : WB, IF, IHC-P
    Reactivity : Human
  • Applications : IF, IHC-P
    Reactivity : Human
  • Applications : IF, WB, IHC-P
    Reactivity : Human
    Citation  Citations(1)
  • Applications : IF, WB, IHC-P
    Reactivity : Human
  • Applications : WB
    Reactivity : Human
    Rab Mono Image
  • Applications : FACS, IF, WB, IHC-P
    Reactivity : Human
  • Applications : WB
    Reactivity : Human
  • Applications : WB, IHC-P
    Reactivity : Human
  • Applications : WB, IHC-P, IF, ICC, FACS
    Reactivity : Human, Mouse, Rat
  • Applications : WB, IHC-P, ICC, IF, FACS
    Reactivity : Human, Mouse, Rat
  • Applications : WB, IHC, ELISA
    Reactivity : Human, Mouse
  • Applications : WB, IHC-P, IF, ELISA (peptide)
    Reactivity : Human, Pig, Rat
    Pred. Reactivity : Cow, Dog

Description

Implicated in mitochondrial protein import and macromolecular assembly. May facilitate the correct folding of imported proteins. May also prevent misfolding and promote the refolding and proper assembly of unfolded polypeptides generated under stress conditions in the mitochondrial matrix.

Application Notes

The stated application concentrations are suggested starting points. Titration of the Hsp60 antibody may be required due to differences in protocols and secondary/substrate sensitivity.

Immunogen

A portion of amino acids 340-374 from the human protein was used as the immunogen for the Hsp60 antibody.

Storage

Aliquot the Hsp60 antibody and store frozen at -20oC or colder. Avoid repeated freeze-thaw cycles.

Cross
Bulk Quote Request Form
Name*:
Organization*:
Email*:
Phone Number*:
Catalog No.*:
Comments and Specifics(amount, formulation, etc.)*:
Validation code: Captchapackage Image


Can't read the image? click here to refresh.
    *required field

Your bulk quote request has been submitted successfully!

Please contact us if you have any questions.