• Tel: 858.663.9055
  • SeparatorEmail: info@nsjbio.com
  • Tel: 858.663.9055
  • Email: info@nsjbio.com
Home >> Antibodies >> HSP105 Antibody

HSP105 Antibody (RQ4470)

  Catalog No Formulation Size Price (USD)  
Image RQ4470 0.5mg/ml if reconstituted with 0.2ml sterile DI water 100 ug 449
Bulk quote request
Western blot testing of human 1) HeLa, 2) placenta, 3) COLO-320, 4) SGC-7901, 5) HepG2, 6) K562, 7) Jurkat and 8) SK-OV-3 lysate with HSP105 antibody at 0.5ug/ml. Expected molecular weight: 105-110 kDa.
Western blot testing of 1) rat brain, 2) rat lung, 3) mouse brain, 4) mouse lung and 5) mouse NIH3T3 lysate with HSP105 antibody at 0.5ug/ml. Expected molecular weight: 105-110 kDa.
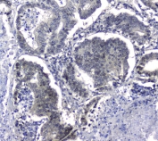
IHC staining of FFPE human intestinal cancer with HSP105 antibody at 1ug/ml. HIER: boil tissue sections in pH6, 10mM citrate buffer, for 10-20 min and allow to cool before testing.
Availability 1-3 business days
Species Reactivity Human, Mouse, Rat
Format Antigen affinity purified
Host Rabbit
Clonality Polyclonal (rabbit origin)
Isotype Rabbit IgG
Purity Antigen affinity
Buffer Lyophilized from 1X PBS with 2% Trehalose and 0.025% sodium azide
UniProt Q92598
Localization Cytoplasmic
Applications Western Blot : 0.5-1ug/ml
IHC (FFPE) : 1-3ug/ml
Direct ELISA : 0.1-0.5ug/ml (human recombinant protein)
Limitations This HSP105 antibody is available for research use only.
Review this product on BioCompare and get a $20 Amazon gift card

Related Products

Description

HSP105 (HEAT-SHOCK 105/110-KD PROTEIN 1), also called HSPH1 or HSP110, is a protein that in humans is encoded by the HSPH1 gene. Immunohistochemical analysis localizes HSP105 mainly in the cytoplasm. Database analysis indicates that both HSP105 isoforms are highly conserved during evolution. By analysis of radiation hybrids and human/rodent hybrid cell lines, the HSPH1 gene is mapped to chromosome 13. Both HSP105-alpha and HSP105-beta are upregulated in HeLa cells exposed to heat shock. HSP105-alpha, but not HSP105-beta, is also upregulate in response to other cell stresses. Following heat shock, HSP105 relocalizes from a cytoplasmic to perinuclear position. Besides, HSP110 may thus constitute a major determinant for both prognosis and treatment response in colorectal cancer.

Application Notes

Optimal dilution of the HSP105 antibody should be determined by the researcher.

Immunogen

Human Heat Shock Protein 105 recombinant protein (amino acids Y653-D858) was used as the immunogen for the HSP105 antibody.

Storage

After reconstitution, the HSP105 antibody can be stored for up to one month at 4oC. For long-term, aliquot and store at -20oC. Avoid repeated freezing and thawing.

Cross
Bulk Quote Request Form
Name*:
Organization*:
Email*:
Phone Number*:
Catalog No.*:
Comments and Specifics(amount, formulation, etc.)*:
Validation code: Captchapackage Image


Can't read the image? click here to refresh.
    *required field

Your bulk quote request has been submitted successfully!

Please contact us if you have any questions.