- Tel: 858.663.9055
- 
									 Email: info@nsjbio.com Email: info@nsjbio.com
- Tel: 858.663.9055
- Email: info@nsjbio.com
 Email: info@nsjbio.com
Email: info@nsjbio.com
								Related Products
| 
 | 
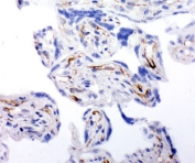
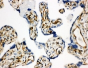
HSD17B2(17-beta-hydroxysteroid dehydrogenase II), also called 17-beta-HSD II, is an enzyme with 387 amino acids, a predicted molecular weight of 42,782D, and associate with the membranes of the endoplasmic reticulum. The type 2 enzyme is capable of catalyzing the interconversion of testosterone and androstenedione, as well as estradiol and estrone. HSD17B2 mRNA was detected in 18 of 42 (43%) adenomas but not in prolactinomas. In the human endometrium, inactivation of 17-beta-estradiol to estrone is catalyzed by HSD17B2. And it activity distinguishing between disease-free and diseased endometria. It efficiently catalyzes the oxidative metabolism of androgens and estrogens, and it is expressed in a large series of human peripheral tissues. The previous paradigm that HSD17B2 activity in the endometrium is elevated during the secretory phase is confined to diseased endometrium but not to disease-free endometrium.
The stated application concentrations are suggested starting amounts. Titration of the HSD17B2 antibody may be required due to differences in protocols and secondary/substrate sensitivity.
Amino acids 373-387 (MPRALRMPNYKKKAT-human) were used as the immunogen for this HSD17B2 antibody.
After reconstitution, the HSD17B2 antibody can be stored for up to one month at 4oC. For long-term, aliquot and store at -20oC. Avoid repeated freezing and thawing.
 
Your bulk quote request has been submitted successfully!
Please contact us if you have any questions.