• Tel: 858.663.9055
  • SeparatorEmail: info@nsjbio.com
  • Tel: 858.663.9055
  • Email: info@nsjbio.com
Home >> Antibodies >> HMG20B Antibody / BRAF35 / SMARCE1-related protein

HMG20B Antibody / BRAF35 / SMARCE1-related protein [clone PCRP-HMG20B-1B5] (V4601)

  Catalog No Formulation Size Price (USD)  
Image V4601-100UG 0.2 mg/ml in 1X PBS with 0.1 mg/ml BSA (US sourced), 0.05% sodium azide 100 ug 559
Image
V4601-20UG 0.2 mg/ml in 1X PBS with 0.1 mg/ml BSA (US sourced), 0.05% sodium azide 20 ug 259
Image
V4601SAF-100UG 1 mg/ml in 1X PBS; BSA free, sodium azide free 100 ug 559
Microvalidated
Bulk quote request
Flow cytometry testing of PFA-fixed human HeLa cells with HMG20B antibody (clone PCRP-HMG20B-1B5) followed by goat anti-mouse IgG-CF488 (blue); isotype control (red).
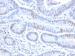
IHC staining of FFPE human colon tissue with HMG20B antibody (clone PCRP-HMG20B-1B5). HIER: boil tissue sections in pH 9 10mM Tris with 1mM EDTA for 20 min and allow to cool before testing.
Analysis of a HuProt(TM) microarray containing more than 19,000 full-length human proteins using HMG20B antibody (clone PCRP-HMG20B-1B5). Z- and S- Score: The Z-score represents the strength of a signal that a monoclonal antibody (in combination with a fluorescently-tagged anti-IgG secondary antibody) produces when binding to a particular protein on the HuProt(TM) array. Z-scores are described in units of standard deviations (SD's) above the mean value of all signals generated on that array. If targets on HuProt(TM) are arranged in descending order of the Z-score, the S-score is the difference (also in units of SD's) between the Z-score. S-score therefore represents the relative target specificity of a mAb to its intended target. A mAb is considered to specific to its intended target, if the mAb has an S-score of at least 2.5. For example, if a mAb binds to protein X with a Z-score of 43 and to protein Y with a Z-score of 14, then the S-score for the binding of that mAb to protein X is equal to 29.
Availability 1-3 business days
Species Reactivity Human
Format Purified
Host Mouse
Clonality Monoclonal (mouse origin)
Isotype Mouse IgG1, kappa
Clone Name PCRP-HMG20B-1B5
Purity Protein A/G affinity
UniProt Q9P0W2
Localization Nucleus
Applications ELISA (Order BSA-free Format For Coating) :
Flow Cytometry : 1-2ug/million cells
Immunohistochemistry (FFPE) : 1-2ug/ml for 30 min at RT
Limitations This HMG20B antibody is available for research use only.
Review this product on BioCompare and get a $20 Amazon gift card

Description

Required for correct progression through G2 phase of the cell cycle and entry into mitosis. Required for RCOR1/CoREST mediated repression of neuronal specific gene promoters.Predicted to enable DNA binding activity. Predicted to be involved in regulation of gene expression. Predicted to act upstream of or within negative regulation of protein sumoylation; positive regulation of neuron differentiation; and skeletal muscle cell differentiation. Located in nuclear body.

Application Notes

Optimal dilution of the HMG20B antibody should be determined by the researcher.

Immunogen

A synthetic peptide corresponding to human SMARCE1-related protein was used as the immunogen for the HMG20B antibody.

Storage

Aliquot the HMG20B antibody and store frozen at -20oC or colder. Avoid repeated freeze-thaw cycles.

Cross
Bulk Quote Request Form
Name*:
Organization*:
Email*:
Phone Number*:
Catalog No.*:
Comments and Specifics(amount, formulation, etc.)*:
Validation code: Captchapackage Image


Can't read the image? click here to refresh.
    *required field

Your bulk quote request has been submitted successfully!

Please contact us if you have any questions.