• Tel: 858.663.9055
  • SeparatorEmail: info@nsjbio.com
  • Tel: 858.663.9055
  • Email: info@nsjbio.com
Home >> Antibodies >> HLA-B Antibody

HLA-B Antibody (F54291)

  Catalog No Formulation Size Price (USD)  
Image F54291-0.4ML In 1X PBS, pH 7.4, with 0.09% sodium azide 0.4 ml 439
Image
F54291-0.08ML In 1X PBS, pH 7.4, with 0.09% sodium azide 0.08 ml 205
Bulk quote request
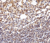
IHC testing of FFPE human tonsil tissue with HLA-B antibody. HIER: steam section in pH6 citrate buffer for 20 min and allow to cool prior to staining.
IHC testing of FFPE human tonsil tissue with HLA-B antibody. HIER: steam section in pH6 citrate buffer for 20 min and allow to cool prior to staining.
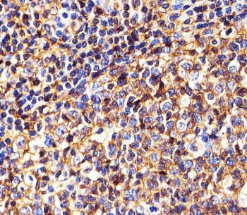
IHC testing of FFPE human spleen tissue with HLA-B antibody. HIER: steam section in pH6 citrate buffer for 20 min and allow to cool prior to staining.
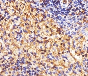
IHC testing of FFPE rat spleen tissue with HLA-B antibody. HIER: steam section in pH6 citrate buffer for 20 min and allow to cool prior to staining.
Western blot testing of human 1) HeLa, 2) HL60, 3) Jurkat, 4) Ramos and 5) spleen lysate with HLA-B antibody. Predicted molecular weight: ~40/45 kDa (unmodified/glycosylated).
Western blot testing of human 1) HeLa, 2) HL60, 3) A549 and 4) Jurkat lysate with HLA-B antibody. Predicted molecular weight: ~40/45 kDa (unmodified/glycosylated).
Availability 1-3 business days
Species Reactivity Human
Format Purified
Host Rabbit
Clonality Polyclonal (rabbit origin)
Isotype Rabbit Ig
Purity Antigen affinity purified
UniProt P30464
Applications Western Blot : 1:500-1:2000
Immunohistochemistry (FFPE) : 1:25
Limitations This HLA-B antibody is available for research use only.
Review this product on BioCompare and get a $20 Amazon gift card

Related Products

Description

Involved in the presentation of foreign antigens to the immune system.

Application Notes

The stated application concentrations are suggested starting points. Titration of the HLA-B antibody may be required due to differences in protocols and secondary/substrate sensitivity.

Immunogen

A portion of amino acids from the human protein were used as the immunogen for the HLA-B antibody.

Storage

Aliquot the HLA-B antibody and store frozen at -20oC or colder. Avoid repeated freeze-thaw cycles.

Cross
Bulk Quote Request Form
Name*:
Organization*:
Email*:
Phone Number*:
Catalog No.*:
Comments and Specifics(amount, formulation, etc.)*:
Validation code: Captchapackage Image


Can't read the image? click here to refresh.
    *required field

Your bulk quote request has been submitted successfully!

Please contact us if you have any questions.