• Tel: 858.663.9055
  • SeparatorEmail: info@nsjbio.com
  • Tel: 858.663.9055
  • Email: info@nsjbio.com
Home >> Antibodies >> HIF3A Antibody

HIF3A Antibody (R35216)

  Catalog No Formulation Size Price (USD)  
Image R35216-100UG 0.5 mg/ml in 1X TBS, pH7.3, with 0.5% BSA (US sourced) and 0.02% sodium azide 100 ug 475
Bulk quote request
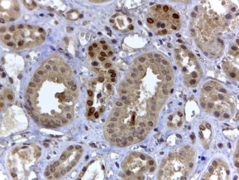
IHC testing of FFPE human kidney with HIF3A antibody at 4ug/ml. HIER: steamed with pH6 citrate buffer, HRP-staining. Nuclear staining in some of the distal convoluted tubules is seen.
Availability 1-3 business days
Species Reactivity Human
Predicted Reactivity Mouse, Rat
Format Antigen affinity purified
Host Goat
Clonality Polyclonal (goat origin)
Isotype Goat Ig
Purity Antigen affinity
Gene ID 64344
Applications Immunohistochemistry (FFPE) : 4-6ug/ml
ELISA (peptide) LOD : 1:128000
Limitations This HIF3A antibody is available for research use only.
Review this product on BioCompare and get a $20 Amazon gift card

Related Products

Description

Additional name(s) for this target protein: Hypoxia inducible factor 3 alpha

Application Notes

Optimal dilution of the HIF3A antibody should be determined by the researcher.

1. This HIF3A antibody is specific for isoforms a and c.

Immunogen

Amino acids QDHRSTTELRKEKS were used as the immunogen for this HIF3A antibody.

Storage

Aliquot and store the HIF3A antibody at -20oC.

Cross
Bulk Quote Request Form
Name*:
Organization*:
Email*:
Phone Number*:
Catalog No.*:
Comments and Specifics(amount, formulation, etc.)*:
Validation code: Captchapackage Image


Can't read the image? click here to refresh.
    *required field

Your bulk quote request has been submitted successfully!

Please contact us if you have any questions.