• Tel: 858.663.9055
  • SeparatorEmail: info@nsjbio.com
  • Tel: 858.663.9055
  • Email: info@nsjbio.com
Home >> Antibodies >> HER2 Antibody - Protein Microarray Validated / ErbB2

HER2 Antibody - Protein Microarray Validated / ErbB2 [clone ERBB2/3092] (V7407)

  Catalog No Formulation Size Price (USD)  
Image V7407-100UG 0.2 mg/ml in 1X PBS with 0.1 mg/ml BSA (US sourced) and 0.05% sodium azide 100 ug 559
Image
V7407-20UG 0.2 mg/ml in 1X PBS with 0.1 mg/ml BSA (US sourced) and 0.05% sodium azide 20 ug 259
Image
V7407SAF-100UG 1 mg/ml in 1X PBS; BSA free, sodium azide free 100 ug 559
Image
V7407IHC-7ML Prediluted in 1X PBS with 0.1 mg/ml BSA (US sourced) and 0.05% sodium azide; *For IHC use only* 7 ml 559
Microvalidated
Bulk quote request
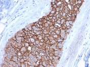
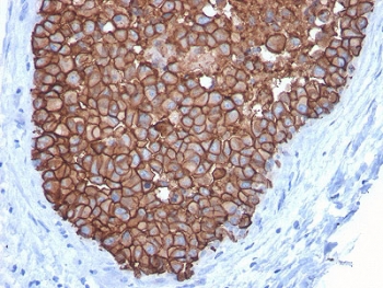
Immunohistochemistry analysis of FFPE human breast carcinoma tissue using protein microarray validated HER2 antibody (clone ERBB2/3092). Brown chromogenic signal indicates HER2-positive membranous staining in tumor epithelial cells. Heat-induced epitope retrieval was performed by boiling tissue sections in pH 6 10mM citrate buffer for 10-20 minutes, followed by cooling at room temperature prior to antibody incubation.
IHC staining of FFPE human breast carcinoma with HER2 antibody (clone ERBB2/3092). HIER: boil tissue sections in pH6, 10mM citrate buffer, for 10-20 min followed by cooling at RT for 20 min.
Analysis of HuProt(TM) microarray containing more than 19,000 full-length human proteins using protein microarray validated HER2 antibody (clone ERBB2/3092). These results demonstrate the foremost specificity of the ERBB2/3092 mAb.
Z- and S- score: The Z-score represents the strength of a signal that an antibody (in combination with a fluorescently-tagged anti-IgG secondary Ab) produces when binding to a particular protein on the HuProt(TM) array. Z-scores are described in units of standard deviations (SD's) above the mean value of all signals generated on that array. If the targets on the HuProt(TM) are arranged in descending order of the Z-score, the S-score is the difference (also in units of SD's) between the Z-scores. The S-score therefore represents the relative target specificity of an Ab to its intended target.
SDS-PAGE analysis of purified, BSA-free HER2 antibody (clone ERBB2/3092) as confirmation of integrity and purity.
Species Reactivity Human
Format Purified
Host Mouse
Clonality Monoclonal (mouse origin)
Isotype Mouse IgG2a, kappa
Clone Name ERBB2/3092
Purity Protein G affinity chromatography
UniProt P04626
Localization Cell membrane (This mAb binds to the extracellular/cell surface region of the protein)
Applications Immunohistochemistry (FFPE) : 1-2ug/ml for 30 min at RT
Limitations This HER2 antibody is available for research use only.
Review this product on BioCompare and get a $20 Amazon gift card

Related Products

Description

Human epidermal growth factor receptor 2 is a receptor tyrosine kinase encoded by the ERBB2 gene and is also widely known as HER2 or ErbB2. The HER2 Antibody - Protein Microarray Validated | ERBB2 (clone ERBB2/3092) is developed to detect this membrane-associated receptor in research applications involving epithelial biology and tumor profiling. ERBB2 is located on chromosome 17q12 and encodes a member of the ErbB family of transmembrane receptor tyrosine kinases, which also includes EGFR, ERBB3, and ERBB4.

HER2 is a single-pass transmembrane glycoprotein composed of an extracellular ligand-binding domain, a transmembrane segment, and an intracellular tyrosine kinase domain. Unlike other ErbB receptors, HER2 does not have a known direct ligand and instead functions as a preferred dimerization partner for other family members. Upon heterodimerization, the intracellular kinase domain becomes activated, leading to autophosphorylation of specific tyrosine residues and downstream signaling through pathways such as PI3K-AKT and MAPK. These pathways regulate cellular proliferation, survival, differentiation, and migration.

In normal tissues, ERBB2 expression is observed in epithelial cells of the breast, gastrointestinal tract, and other organs, where it contributes to regulated growth signaling. Amplification or overexpression of HER2 is strongly associated with breast carcinoma and has also been documented in gastric, ovarian, and other epithelial malignancies. Increased ERBB2 gene copy number leads to receptor overexpression at the cell membrane, promoting constitutive signaling and oncogenic transformation. As a result, HER2 has become one of the most extensively studied biomarkers in oncology research.

Protein microarray validation supports the specificity of clone ERBB2/3092, demonstrating preferential recognition of ERBB2 among thousands of human proteins assessed in high-content screening platforms. This mouse monoclonal antibody supports research applications focused on HER2 signaling, receptor overexpression in cancer biology, and evaluation of ErbB family protein expression patterns.

Application Notes

The concentration stated for each application is a general starting point. Variations in protocols, secondaries and substrates may require the tissue array validated HER2 antibody to be titered up or down for optimal performance.

1. The prediluted format is supplied in a dropper bottle and is optimized for use in IHC. After epitope retrieval step (if required), drip mAb solution onto the tissue section and incubate at RT for 30 min.

Immunogen

A portion of amino acids 311-462 from the human protein was used as the immunogen for this HER2 antibody.

Storage

Store the HER2 antibody at 2-8oC (with azide) or aliquot and store at -20oC or colder (without azide).

Cross
Bulk Quote Request Form
Name*:
Organization*:
Email*:
Phone Number*:
Catalog No.*:
Comments and Specifics(amount, formulation, etc.)*:
Validation code: Captchapackage Image


Can't read the image? click here to refresh.
    *required field

Your bulk quote request has been submitted successfully!

Please contact us if you have any questions.