• Tel: 858.663.9055
  • SeparatorEmail: info@nsjbio.com
  • Tel: 858.663.9055
  • Email: info@nsjbio.com
Home >> Antibodies >> HEPACAM2 Antibody / HEPACAM family member 2

HEPACAM2 Antibody / HEPACAM family member 2 (RQ8658)

  Catalog No Formulation Size Price (USD)  
Image RQ8658 0.5mg/ml if reconstituted with 0.2ml sterile DI water 100 ug 449
Bulk quote request
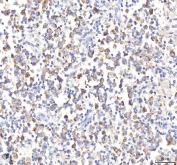
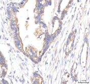
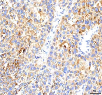
IHC staining of FFPE human liver cancer tissue with HEPACAM2 antibody. HIER: boil tissue sections in pH8 EDTA for 20 min and allow to cool before testing.
IHC staining of FFPE human testicular seminoma tissue with HEPACAM2 antibody. HIER: boil tissue sections in pH8 EDTA for 20 min and allow to cool before testing.
IHC staining of FFPE human pancreas ductal adenocarcinoma tissue with HEPACAM2 antibody. HIER: boil tissue sections in pH8 EDTA for 20 min and allow to cool before testing.
Western blot testing of human 1) HEK293, 2) HEL, 3) Caco-2 and 4) SH-SY5Y cell lysate with HEPACAM2 antibody. Predicted molecular weight ~51 kDa but may be observed a higher molecular weights due to glycosylation.
Availability 1-3 days
Species Reactivity Human
Format Antigen affinity purified
Host Rabbit
Clonality Polyclonal (rabbit origin)
Isotype Rabbit IgG
Purity Antigen affinity chromatography
Buffer Lyophilized from 1X PBS with 2% Trehalose
UniProt A8MVW5
Localization Cytoplasm
Applications Western Blot : 1-2ug/ml
Immunohistochemistry (FFPE) : 2-5ug/ml
ELISA : 0.1-0.5ug/ml
Limitations This HEPACAM2 antibody is available for research use only.
Review this product on BioCompare and get a $20 Amazon gift card

Description

HEPACAM family member 2 is a protein that in humans is encoded by the HEPACAM2 gene. This gene encodes a protein related to the immunoglobulin superfamily that plays a role in mitosis. Knockdown of this gene results in prometaphase arrest, abnormal nuclear morphology and apoptosis. Poly(ADP-ribosylation) of the encoded protein promotes its translocation to centrosomes, which may stimulate centrosome maturation. A chromosomal deletion including this gene may be associated with myeloid leukemia and myelodysplastic syndrome in human patients.

Application Notes

Optimal dilution of the HEPACAM2 antibody should be determined by the researcher.

Immunogen

An E.coli-derived human recombinant protein (amino acids G31-K345) was used as the immunogen for the HEPACAM2 antibody.

Storage

After reconstitution, the HEPACAM2 Antibody can be stored for up to one month at 4oC. For long-term, aliquot and store at -20oC. Avoid repeated freezing and thawing.

Cross
Bulk Quote Request Form
Name*:
Organization*:
Email*:
Phone Number*:
Catalog No.*:
Comments and Specifics(amount, formulation, etc.)*:
Validation code: Captchapackage Image


Can't read the image? click here to refresh.
    *required field

Your bulk quote request has been submitted successfully!

Please contact us if you have any questions.