• Tel: 858.663.9055
  • SeparatorEmail: info@nsjbio.com
  • Tel: 858.663.9055
  • Email: info@nsjbio.com
Home >> Antibodies >> Helicobacter pylori Antibody

Helicobacter pylori Antibody [clone RM429] (R20444)

  Catalog No Formulation Size Price (USD)  
Image R20444-0.1ML Antibody in PBS with 50% glycerol, 1% BSA and 0.09% sodium azide 100 ul 439
Microvalidated Recrabbitmono
Bulk quote request
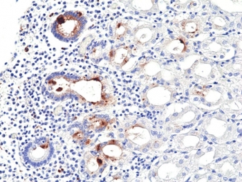
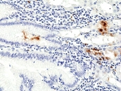
IHC staining of FFPE human stomach tissue with recombinant Helicobacter pylori antibody at 1:100.
IHC staining of FFPE human stomach tissue with recombinant Helicobacter pylori antibody at 1:100.
Availability 1-3 business days
Species Reactivity Helicobacter Pylori
Format Purified
Host Rabbit
Clonality Recombinant Rabbit Monoclonal
Isotype Rabbit IgG
Clone Name RM429
Purity Protein A purified from animal origin-free supernatant
Applications Immunohistochemistry (FFPE) : 1:50-1:100
Limitations This recombinant Helicobacter pylori antibody is available for research use only.
Review this product on BioCompare and get a $20 Amazon gift card

Related Products

Description

This antibody reacts to Helicobacter pylori.

Application Notes

The stated application concentrations are suggested starting points. Titration of the recombinant Helicobacter pylori antibody may be required due to differences in protocols and secondary/substrate sensitivity.

Immunogen

Proteins purified from Helicobacter pylori was used as the immunogen for the recombinant Helicobacter pylori antibody.

Storage

Store the recombinant Helicobacter pylori antibody at -20oC.

Cross
Bulk Quote Request Form
Name*:
Organization*:
Email*:
Phone Number*:
Catalog No.*:
Comments and Specifics(amount, formulation, etc.)*:
Validation code: Captchapackage Image


Can't read the image? click here to refresh.
    *required field

Your bulk quote request has been submitted successfully!

Please contact us if you have any questions.