• Tel: 858.663.9055
  • SeparatorEmail: info@nsjbio.com
  • Tel: 858.663.9055
  • Email: info@nsjbio.com
Home >> Antibodies >> HECTD3 Antibody

HECTD3 Antibody (RQ4929)

  Catalog No Formulation Size Price (USD)  
Image RQ4929 0.5mg/ml if reconstituted with 0.2ml sterile DI water 100 ug 449
Bulk quote request
Western blot testing of 1) human Caco-2, 2) rat brain and 3) mouse brain lysate with HECTD3 antibody at 0.5ug/ml. Predicted molecular weight ~97 kDa.
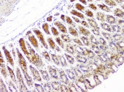
IHC staining of FFPE human stomach tissue with HECTD3 antibody at 1ug/ml. HIER: boil tissue sections in pH6, 10mM citrate buffer, for 10-20 min and allow to cool before testing.
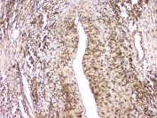
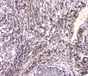
IHC staining of FFPE human lung tissue with HECTD3 antibody at 1ug/ml. HIER: boil tissue sections in pH6, 10mM citrate buffer, for 10-20 min and allow to cool before testing.
IHC staining of FFPE human lung tissue with HECTD3 antibody at 1ug/ml. HIER: boil tissue sections in pH6, 10mM citrate buffer, for 10-20 min and allow to cool before testing.
Flow cytometry testing of human A549 cells with HECTD3 antibody at 1ug/10^6 cells (blocked with goat sera); Red=cells alone, Green=isotype control, Blue= HECTD3 antibody.
Availability 1-3 business days
Species Reactivity Human, Mouse, Rat
Format Antigen affinity purified
Host Rabbit
Clonality Polyclonal (rabbit origin)
Isotype Rabbit IgG
Purity Antigen affinity purified
Buffer Lyophilized from 1X PBS with 2% Trehalose and 0.025% sodium azide
UniProt Q5T447
Localization Cytoplasmic
Applications Western Blot : 0.5-1ug/ml
Immunohistochemistry (FFPE) : 1-2ug/ml
Flow Cytometry : 1-3ug/10^6 cells
Limitations This HECTD3 antibody is available for research use only.
Review this product on BioCompare and get a $20 Amazon gift card

Description

The protein encoded by this gene transfers ubiquitin from an E2 ubiquitin-conjugating enzyme to targeted substrates, leading to the degradation of those substrates. This gene is mapped to 1p34.1. The encoded protein has been shown to transfer ubiquitin to TRIOBP to facilitate cell cycle progression, and to STX8.

Application Notes

Optimal dilution of the HECTD3 antibody should be determined by the researcher.

Immunogen

Amino acids HYASAKVCEEKLRYAAYNCVAIDTDMSPWEE from the human protein were used as the immunogen for the HECTD3 antibody.

Storage

After reconstitution, the HECTD3 antibody can be stored for up to one month at 4oC. For long-term, aliquot and store at -20oC. Avoid repeated freezing and thawing.

Cross
Bulk Quote Request Form
Name*:
Organization*:
Email*:
Phone Number*:
Catalog No.*:
Comments and Specifics(amount, formulation, etc.)*:
Validation code: Captchapackage Image


Can't read the image? click here to refresh.
    *required field

Your bulk quote request has been submitted successfully!

Please contact us if you have any questions.