• Tel: 858.663.9055
  • SeparatorEmail: info@nsjbio.com
  • Tel: 858.663.9055
  • Email: info@nsjbio.com
Home >> Antibodies >> HEC1 Antibody / NDC80

HEC1 Antibody / NDC80 (R36360)

  Catalog No Formulation Size Price (USD)  
Image R36360-100UG 0.5 mg/ml in 1X TBS, pH7.3, with 0.5% BSA (US sourced) and 0.02% sodium azide 100 ug 475
Bulk quote request
Western blot testing of HeLa lysate with HEC1 antibody at 0.5ug/ml. Predicted/observed molecular weight: ~74/74-80 kDa.
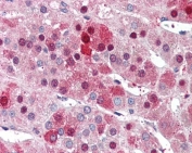
IHC testing of FFPE human liver tissue with HEC1 antibody at 5ug/ml. Required HIER: steamed antigen retrieval with pH6 citrate buffer; AP-staining.
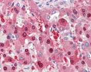
IHC testing of FFPE human adrenal gland with HEC1 antibody at 5ug/ml. Required HIER: steamed antigen retrieval with pH6 citrate buffer; AP-staining.
Availability 1-3 business days
Species Reactivity Human
Format Antigen affinity purified
Host Goat
Clonality Polyclonal (goat origin)
Isotype Goat Ig
Purity Antigen affinity
Gene ID 10403
Localization Nuclear
Applications Western Blot : 0.5-2ug/ml
IHC (FFPE) : 5ug/ml
ELISA (peptide) LOD : 1:32000
Limitations This HEC1 antibody is available for research use only.
Review this product on BioCompare and get a $20 Amazon gift card

Related Products

Description

Additional name(s) for this target protein: Highly expressed in cancer, rich in leucine heptad repeats; NDC80; Kinetochore protein NDC80 homolog

Application Notes

Optimal dilution of the HEC1 antibody should be determined by the researcher.

Immunogen

Amino acids YEKKATLIKSSEE were used as the immunogen for this HEC1 antibody.

Storage

Aliquot and store the HEC1 antibody at -20oC.

Cross
Bulk Quote Request Form
Name*:
Organization*:
Email*:
Phone Number*:
Catalog No.*:
Comments and Specifics(amount, formulation, etc.)*:
Validation code: Captchapackage Image


Can't read the image? click here to refresh.
    *required field

Your bulk quote request has been submitted successfully!

Please contact us if you have any questions.