• Tel: 858.663.9055
  • SeparatorEmail: info@nsjbio.com
  • Tel: 858.663.9055
  • Email: info@nsjbio.com
Home >> Antibodies >> HCG-alpha Antibody

HCG-alpha Antibody [clone rHCGa/6975] (V5174)

  Catalog No Formulation Size Price (USD)  
Image V5174-100UG 0.2 mg/ml in 1X PBS with 0.1 mg/ml BSA (US sourced), 0.05% sodium azide 100 ug 559
Image
V5174-20UG 0.2 mg/ml in 1X PBS with 0.1 mg/ml BSA (US sourced), 0.05% sodium azide 20 ug 259
Image
V5174SAF-100UG 1 mg/ml in 1X PBS; BSA free, sodium azide free 100 ug 559
Microvalidated Recmousemono
Bulk quote request
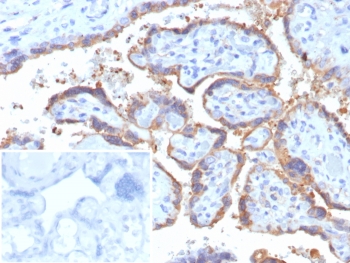
IHC staining of FFPE human placental tissue with HCG-alpha antibody (clone rHCGa/6975). Inset: PBS used in place of primary Ab (secondary Ab negative control). HIER: boil tissue sections in pH 9 10mM Tris with 1mM EDTA for 20 min and allow to cool before testing.
SDS-PAGE analysis of purified, BSA-free HCG-alpha antibody (clone rHCGa/6975) as confirmation of integrity and purity.
Availability 1-3 business days
Species Reactivity Human
Format Purified
Host Mouse
Clonality Recombinant Mouse Monoclonal
Isotype Mouse IgG1, kappa
Clone Name rHCGa/6975
Purity Protein A/G affinity
UniProt P01215
Localization Cytoplasm, Secreted
Applications Immunohistochemistry (FFPE) : 1-2ug/ml for 30 min at RT
Limitations This HCG-alpha antibody is available for research use only.
Review this product on BioCompare and get a $20 Amazon gift card

Related Products

Description

Human chorionic gonadotropin antibody (hCG) is a glycoprotein hormone synthesized in syncytiotrophoblastic cells of placenta and in certain trophoblastic tumors. The hormone-specific alpha chains have molecular weights of 13 kDa. HCG is found in moles and choriocarcinoma, chorionic components of germ cell tumors, and syncytiotrophoblast like cells in seminoma/dysgerminoma and embryonal carcinoma. In diagnostic pathology, hCG is a useful marker for classification of germ cell tumors, identification of extragonadal germ cell tumors.

Application Notes

Optimal dilution of the HCG-alpha antibody should be determined by the researcher.

Immunogen

A recombinant partial protein sequence (within amino acids 1-116) from the human protein was used as the immunogen for the HCG-alpha antibody.

Storage

Aliquot the HCG-alpha antibody and store frozen at -20oC or colder. Avoid repeated freeze-thaw cycles.

Cross
Bulk Quote Request Form
Name*:
Organization*:
Email*:
Phone Number*:
Catalog No.*:
Comments and Specifics(amount, formulation, etc.)*:
Validation code: Captchapackage Image


Can't read the image? click here to refresh.
    *required field

Your bulk quote request has been submitted successfully!

Please contact us if you have any questions.