- Tel: 858.663.9055
- 
									 Email: info@nsjbio.com Email: info@nsjbio.com
- Tel: 858.663.9055
- Email: info@nsjbio.com
 Email: info@nsjbio.com
Email: info@nsjbio.com
								Related Products
| 
 | 
As a result of hemolysis, hemoglobin is found to accumulate in the kidney and is secreted in the urine. Haptoglobin captures, and combines with free plasma hemoglobin to allow hepatic recycling of heme iron and to prevent kidney damage. [UniProt]
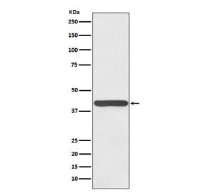
Optimal dilution of the Haptoglobin antibody should be determined by the researcher.
A synthetic peptide specific to human Haptoglobin / HP was used as the immunogen for the Haptoglobin antibody.
Store the Haptoglobin antibody at -20oC.
 
Your bulk quote request has been submitted successfully!
Please contact us if you have any questions.