• Tel: 858.663.9055
  • SeparatorEmail: info@nsjbio.com
  • Tel: 858.663.9055
  • Email: info@nsjbio.com
Home >> Antibodies >> H2AFY Antibody / Macro H2A.1

H2AFY Antibody / Macro H2A.1 [clone ADDI-8] (RQ4775)

  Catalog No Formulation Size Price (USD)  
Image RQ4775 Antibody in PBS with 0.02% sodium azide, 50% glycerol and 0.4-0.5mg/ml BSA 100 ul 449
Microvalidated Rab Mono Image
Bulk quote request
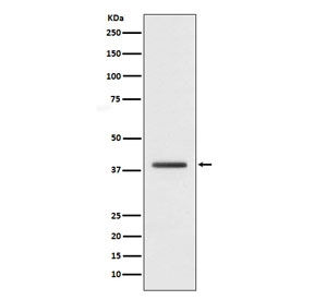
Western blot testing of human HepG2 cell lysate with H2AFY antibody. Predicted molecular weight ~40 kDa.
Availability 1-2 weeks
Species Reactivity Human
Format Purified
Host Rabbit
Clonality Rabbit Monoclonal
Isotype Rabbit IgG
Clone Name ADDI-8
Purity Affinity purified
UniProt O75367
Applications Western Blot : 1:1000-1:5000
Limitations This H2AFY antibody is available for research use only.
Review this product on BioCompare and get a $20 Amazon gift card

Related Products

Description

'Core histone macro-H2A.1' is involved in stable X chromosome inactivation. Inhibits the binding of transcription factors and interferes with the activity of remodeling SWI/SNF complexes. Inhibits histone acetylation by EP300 and recruits class I HDACs, which induces an hypoacetylated state of chromatin.

Application Notes

Optimal dilution of the H2AFY antibody should be determined by the researcher.

Immunogen

A synthetic peptide specific to human H2AFY / macroH2A.1 was used as the immunogen for the H2AFY antibody.

Storage

Store the H2AFY antibody at -20oC.

Cross
Bulk Quote Request Form
Name*:
Organization*:
Email*:
Phone Number*:
Catalog No.*:
Comments and Specifics(amount, formulation, etc.)*:
Validation code: Captchapackage Image


Can't read the image? click here to refresh.
    *required field

Your bulk quote request has been submitted successfully!

Please contact us if you have any questions.