• Tel: 858.663.9055
  • SeparatorEmail: info@nsjbio.com
  • Tel: 858.663.9055
  • Email: info@nsjbio.com
Home >> Antibodies >> Growth Hormone Antibody / GH1

Growth Hormone Antibody / GH1 [clone GH/3155] (V7807)

  Catalog No Formulation Size Price (USD)  
Image V7807-100UG 0.2 mg/ml in 1X PBS with 0.1 mg/ml BSA (US sourced) and 0.05% sodium azide 100 ug 559
Image
V7807-20UG 0.2 mg/ml in 1X PBS with 0.1 mg/ml BSA (US sourced) and 0.05% sodium azide 20 ug 259
Image
V7807SAF-100UG 1 mg/ml in 1X PBS; BSA free, sodium azide free 100 ug 559
Microvalidated
Bulk quote request
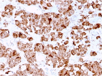
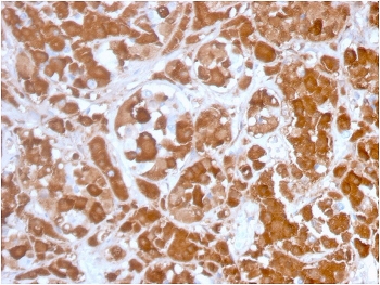
IHC testing of FFPE human pituitary with Growth Hormone antibody (clone GH/3155). Required HIER: boil tissue sections in pH 9 10mM Tris with 1mM EDTA for 10-20 min.
IHC testing of FFPE human pituitary with Growth Hormone antibody (clone GH/3155). Required HIER: boil tissue sections in pH 9 10mM Tris with 1mM EDTA for 10-20 min.
IHC testing of FFPE human pituitary with Growth Hormone antibody (clone GH/3155). Required HIER: boil tissue sections in pH 9 10mM Tris with 1mM EDTA for 10-20 min.
Analysis of HuProt(TM) microarray containing more than 19,000 full-length human proteins using Growth Hormone antibody (clone GH/3155). These results demonstrate the foremost specificity of the GH/3155 mAb.
Z- and S- score: The Z-score represents the strength of a signal that an antibody (in combination with a fluorescently-tagged anti-IgG secondary Ab) produces when binding to a particular protein on the HuProt(TM) array. Z-scores are described in units of standard deviations (SD's) above the mean value of all signals generated on that array. If the targets on the HuProt(TM) are arranged in descending order of the Z-score, the S-score is the difference (also in units of SD's) between the Z-scores. The S-score therefore represents the relative target specificity of an Ab to its intended target.
SDS-PAGE analysis of purified, BSA-free recombinant Growth Hormone antibody (clone GH/3155) as confirmation of integrity and purity.
Availability 1-3 business days
Species Reactivity Human
Format Purified
Host Mouse
Clonality Monoclonal (mouse origin)
Isotype Mouse IgG1, kappa
Clone Name GH/3155
Purity Protein G affinity chromatography
UniProt P01241
Localization Cytoplasmic
Applications Immunohistochemistry (FFPE) : 1-2ug/ml
Limitations This Growth Hormone antibody is available for research use only.
Review this product on BioCompare and get a $20 Amazon gift card

Related Products

Description

Pituitary growth hormone (GH) plays a crucial role in stimulating and controlling the growth, metabolism and differentiation of many mammalian cell types by modulating the synthesis of multiple mRNA species. These effects are mediated by the binding of GH to its membrane-bound receptor, GHR, and involve a phosphorylation cascade that results in the modulation of numerous signaling pathways. GH is synthesized by acidophilic or somatotropic cells of the anterior pituitary gland. Anti-GH is a useful marker in classification of pituitary tumors and the study of pituitary disease (acromegaly).

Application Notes

Optimal dilution of the Growth Hormone antibody should be determined by the researcher.

Immunogen

A full-length of human Growth Hormone protein was used as the immunogen for the Growth Hormone antibody.

Storage

Store the Growth Hormone antibody at 2-8oC (with azide) or aliquot and store at -20oC or colder (without azide).

Cross
Bulk Quote Request Form
Name*:
Organization*:
Email*:
Phone Number*:
Catalog No.*:
Comments and Specifics(amount, formulation, etc.)*:
Validation code: Captchapackage Image


Can't read the image? click here to refresh.
    *required field

Your bulk quote request has been submitted successfully!

Please contact us if you have any questions.