• Tel: 858.663.9055
  • SeparatorEmail: info@nsjbio.com
  • Tel: 858.663.9055
  • Email: info@nsjbio.com
Home >> Antibodies >> GRB7 Antibody / Growth factor receptor-bound protein 7

GRB7 Antibody / Growth factor receptor-bound protein 7 (R30667)

  Catalog No Formulation Size Price (USD)  
Image R30667 0.5mg/ml if reconstituted with 0.2ml sterile DI water 100 ug 449
Bulk quote request
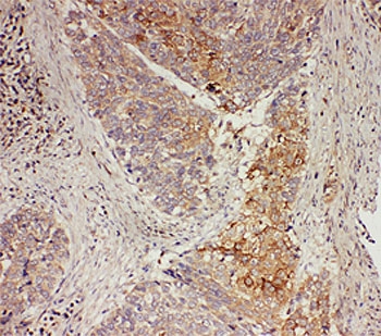
Immunohistochemical staining of FFPE human colon cancer tissue with GRB7 antibody, HRP-secondary and DAB substrate. HIER: boil tissue sections in pH8 EDTA for 20 min and allow to cool before testing.
Immunohistochemical staining of FFPE human stomach cancer tissue with GRB7 antibody, HRP-secondary and DAB substrate. HIER: boil tissue sections in pH8 EDTA for 20 min and allow to cool before testing.
Western blot testing of 1) human A31 and 2) human HeLa cell lysate with GRB7 antibody. Predicted molecular weight ~60 kDa.
Flow cytometry analysis of fixed and permeabilized human Caco-2 cells with GRB7 antibody at 1ug/million cells (blocked with goat sera); Red=cells alone, Green=isotype control, Blue= GRB7 antibody.
Availability 1-3 business days
Species Reactivity Human, Mouse, Rat
Format Antigen affinity purified
Host Rabbit
Clonality Polyclonal (rabbit origin)
Isotype Rabbit IgG
Purity Antigen affinity
Buffer Lyophilized from 1X PBS with 2% Trehalose
UniProt Q14451
Localization Cytoplasm, cell junctions
Applications Western Blot : 0.5-1ug/ml
Immunohistochemistry (FFPE) : 2-5ug/ml
Flow Cytometry : 1-3ug/million cells
Limitations This GRB7 antibody is available for research use only.
Review this product on BioCompare and get a $20 Amazon gift card

Related Products

Description

GRB7 antibody targets Growth factor receptor-bound protein 7, encoded by the GRB7 gene. Growth factor receptor-bound protein 7 is an adaptor protein that functions as a key mediator of intracellular signaling downstream of receptor tyrosine kinases. GRB7 is primarily localized in the cytoplasm but can associate with cellular membranes and focal adhesions through interactions with activated receptors and cytoskeletal components. By acting as a molecular bridge, GRB7 links activated surface receptors to downstream signaling pathways that regulate cell behavior.

Functionally, Growth factor receptor-bound protein 7 contains a Src homology 2 (SH2) domain that enables binding to phosphorylated tyrosine residues on activated receptors such as EGFR, ERBB2, and other growth factor receptors. Through these interactions, GRB7 influences signaling pathways involved in cell proliferation, migration, and survival. GRB7 also interacts with focal adhesion proteins and integrin-associated complexes, positioning it as an important regulator of cell motility and adhesion dynamics. A GRB7 antibody supports studies focused on receptor-mediated signal transduction and adaptor protein function.

GRB7 expression is observed in a variety of tissues and cell types, with particularly notable roles in epithelial cells and cells undergoing active migration or growth factor stimulation. Its subcellular localization can change in response to receptor activation, reflecting its dynamic role in signal relay. GRB7 frequently functions in coordination with related adaptor proteins, enabling fine-tuned regulation of signaling intensity and specificity within growth factor pathways.

From a disease-relevance perspective, GRB7 has been extensively studied in cancer biology. The GRB7 gene is located in close proximity to ERBB2 on chromosome 17, and co-amplification or overexpression of GRB7 has been reported in several tumor types, including breast and gastric cancers. Elevated GRB7 expression has been associated with enhanced cell migration, invasion, and aggressive tumor behavior, making it a molecule of interest in studies of oncogenic signaling and cancer progression.

At the molecular level, Growth factor receptor-bound protein 7 contains conserved domains that mediate protein-protein interactions critical for signal propagation. Post-translational modifications and interaction with phosphorylated receptors can influence its signaling activity and electrophoretic behavior on SDS-PAGE without implying changes in primary sequence. A GRB7 antibody supports research applications focused on growth factor signaling, adaptor protein networks, and disease-associated alterations in receptor-driven pathways, with NSJ Bioreagents providing reagents intended for research use.

Application Notes

The stated application concentrations are suggested starting amounts. Titration of the GRB7 antibody may be required due to differences in protocols and secondary/substrate sensitivity.

Immunogen

An amino acid sequence from the middle region of human GRB7 (ARHVCEMLVQRAHALSDE) was used as the immunogen for this GRB7 antibody (100% homologous in human, mouse and rat).

Storage

After reconstitution, the GRB7 antibody can be stored for up to one month at 4oC. For long-term, aliquot and store at -20oC. Avoid repeated freezing and thawing.

Cross
Bulk Quote Request Form
Name*:
Organization*:
Email*:
Phone Number*:
Catalog No.*:
Comments and Specifics(amount, formulation, etc.)*:
Validation code: Captchapackage Image


Can't read the image? click here to refresh.
    *required field

Your bulk quote request has been submitted successfully!

Please contact us if you have any questions.