• Tel: 858.663.9055
  • SeparatorEmail: info@nsjbio.com
  • Tel: 858.663.9055
  • Email: info@nsjbio.com
Home >> Antibodies >> Granzyme B Antibody

Granzyme B Antibody [clone RM441] (R20456)

  Catalog No Formulation Size Price (USD)  
Image R20456-0.1ML Antibody in PBS with 50% glycerol, 1% BSA and 0.09% sodium azide 100 ul 439
Microvalidated Recrabbitmono
Bulk quote request
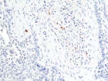
IHC staining of FFPE human lung squamous carcinoma tissue with recombinant Granzyme B antibody at 1:200.
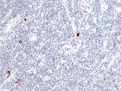
IHC staining of FFPE human tonsil tissue with recombinant Granzyme B antibody at 1:200.
Availability 1-3 business days
Species Reactivity Human
Format Purified
Host Rabbit
Clonality Recombinant Rabbit Monoclonal
Isotype Rabbit IgG
Clone Name RM441
Purity Protein A purified from animal origin-free supernatant
UniProt P10144
Localization Cytoplasmic
Applications Immunohistochemistry (FFPE) : 1:100-1:200
Limitations This recombinant Granzyme B antibody is available for research use only.
Review this product on BioCompare and get a $20 Amazon gift card

Related Products

Description

This antibody reacts to Granzyme B.

Application Notes

The stated application concentrations are suggested starting points. Titration of the recombinant Granzyme B antibody may be required due to differences in protocols and secondary/substrate sensitivity.

Immunogen

A peptide corresponding to the C-terminus of Granzyme B was used as the immunogen for the recombinant Granzyme B antibody.

Storage

Store the recombinant Granzyme B antibody at -20oC.

Cross
Bulk Quote Request Form
Name*:
Organization*:
Email*:
Phone Number*:
Catalog No.*:
Comments and Specifics(amount, formulation, etc.)*:
Validation code: Captchapackage Image


Can't read the image? click here to refresh.
    *required field

Your bulk quote request has been submitted successfully!

Please contact us if you have any questions.