• Tel: 858.663.9055
  • SeparatorEmail: info@nsjbio.com
  • Tel: 858.663.9055
  • Email: info@nsjbio.com
Home >> Antibodies >> Grancalcin Antibody / GCA

Grancalcin Antibody / GCA (RQ4647)

  Catalog No Formulation Size Price (USD)  
Image RQ4647 0.5mg/ml if reconstituted with 0.2ml sterile DI water 100 ug 449
Bulk quote request
Western blot testing of human 1) placenta, 2) HL-60 and 3) Caco-2 lysate with Grancalcin antibody at 0.5ug/ml. Predicted molecular weight ~24 kDa.
Western blot testing of 1) human MCF7, 2) human HL-60, 3) human HeLa, 4) rat testis and 5) mouse testis tissue lysate with Grancalcin antibody at 0.5ug/ml. Predicted molecular weight ~24 kDa.
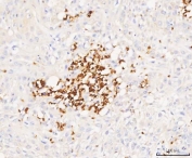
IHC staining of FFPE human bladder urothelial carcinoma tissue with Grancalcin antibody. HIER: boil tissue sections in pH8 EDTA for 20 min and allow to cool before testing.
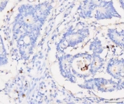
IHC staining of FFPE human colorectal adenocarcinoma tissue with Grancalcin antibody. HIER: boil tissue sections in pH8 EDTA for 20 min and allow to cool before testing.
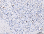
IHC staining of FFPE human lung cancer tissue with Grancalcin antibody. HIER: boil tissue sections in pH8 EDTA for 20 min and allow to cool before testing.
Immunofluorescent staining of FFPE human HeLa cells with Grancalcin antibody (red) and DAPI nuclear stain (blue). HIER: steam section in pH6 citrate buffer for 20 min.
Flow cytometry testing of human HL60 cells with Grancalcin antibody at 1ug/million cells (blocked with goat sera); Red=cells alone, Green=isotype control, Blue= Grancalcin antibody.
Availability 1-3 business days
Species Reactivity Human
Format Antigen affinity purified
Host Rabbit
Clonality Polyclonal (rabbit origin)
Isotype Rabbit IgG
Purity Antigen affinity purified
Buffer Lyophilized from 1X PBS with 2% Trehalose
UniProt P28676
Applications Western Blot : 0.5-1ug/ml
Immunohistochemistry (FFEP) : 2-5ug/ml
Immunofluorescence : 5ug/ml
Flow Cytometry : 1-3ug/million cells
Direct ELISA : 0.1-0.5ug/ml (human recombinant protein)
Limitations This Grancalcin antibody is for research use only.
Review this product on BioCompare and get a $20 Amazon gift card

Related Products

Description

Grancalcin is a protein that in humans is encoded by the GCA gene. This gene is mapped to 2q24.2. This gene product, grancalcin, is a calcium-binding protein abundant in neutrophils and macrophages. It belongs to the penta-EF-hand subfamily of proteins which includes sorcin, calpain, and ALG-2. Grancalcin localization is dependent upon calcium and magnesium. In the absence of divalent cation, grancalcin localizes to the cytosolic fraction; with magnesium alone, it partitions with the granule fraction; and in the presence of magnesium and calcium, it associates with both the granule and membrane fractions, suggesting a role for grancalcin in granule-membrane fusion and degranulation.

Application Notes

Optimal dilution of the Grancalcin antibody should be determined by the researcher.

Immunogen

Amino acids A42-I217 from the human protein were used as the immunogen for the Grancalcin antibody.

Storage

After reconstitution, the Grancalcin antibody can be stored for up to one month at 4oC. For long-term, aliquot and store at -20oC. Avoid repeated freezing and thawing.

Cross
Bulk Quote Request Form
Name*:
Organization*:
Email*:
Phone Number*:
Catalog No.*:
Comments and Specifics(amount, formulation, etc.)*:
Validation code: Captchapackage Image


Can't read the image? click here to refresh.
    *required field

Your bulk quote request has been submitted successfully!

Please contact us if you have any questions.