• Tel: 858.663.9055
  • SeparatorEmail: info@nsjbio.com
  • Tel: 858.663.9055
  • Email: info@nsjbio.com
Home >> Antibodies >> GOT1 Antibody

GOT1 Antibody (R35783)

  Catalog No Formulation Size Price (USD)  
Image R35783-100UG 0.5 mg/ml in 1X TBS, pH7.3, with 0.5% BSA (US sourced) and 0.02% sodium azide 100 ug 475
Bulk quote request
Western blot testing of human liver lysate with GOT1 antibody at 0.01ug/ml. Predicted molecular weight 46 kDa but routinely observed from 40~46 kDa.
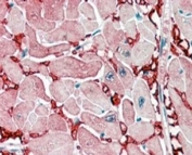
IHC staining of FFPE human heart with GOT1 antibody at 2.5ug/ml. HIER: steamed with pH6 citrate buffer, AP-staining. Strong staining of the capillary network between the myocardial fibers is seen (transverse secion).
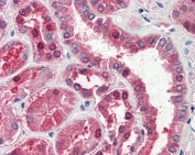
IHC staining of FFPE human kidney with GOT1 antibody at 5ug/ml. HIER: steamed with pH6 citrate buffer, AP-staining.
Availability 1-3 business days
Species Reactivity Human
Predicted Reactivity Rat
Format Antigen affinity purified
Host Goat
Clonality Polyclonal (goat origin)
Isotype Goat Ig
Purity Antigen affinity
Gene ID 2805
Localization Cytoplasmic
Applications Western Blot : 0.01-0.03ug/ml
Immunohistochemistry (FFPE) : 2-5ug/ml
ELISA (peptide) LOD : 1:4000
Limitations This GOT1 antibody is available for research use only.
Review this product on BioCompare and get a $20 Amazon gift card

Related Products

Description

Additional name(s) for this target protein: Glutamic-oxaloacetic transaminase 1

Application Notes

Optimal dilution of the GOT1 antibody should be determined by the researcher.

Immunogen

Amino acids RSYRYWDAEKR were used as the immunogen for this GOT1 antibody.

Storage

Aliquot and store the GOT1 antibody at -20oC.

Cross
Bulk Quote Request Form
Name*:
Organization*:
Email*:
Phone Number*:
Catalog No.*:
Comments and Specifics(amount, formulation, etc.)*:
Validation code: Captchapackage Image


Can't read the image? click here to refresh.
    *required field

Your bulk quote request has been submitted successfully!

Please contact us if you have any questions.