• Tel: 858.663.9055
  • SeparatorEmail: info@nsjbio.com
  • Tel: 858.663.9055
  • Email: info@nsjbio.com
Home >> Antibodies >> Glutamine Synthetase Antibody / Knockdown-Validated Neuro-Metabolic Enzyme Antibody

Glutamine Synthetase Antibody / Knockdown-Validated Neuro-Metabolic Enzyme Antibody [clone GLUL/8996R] (V4746)

  Catalog No Formulation Size Price (USD)  
Image V4746-100UG 0.2 mg/ml in 1X PBS with 0.1 mg/ml BSA (US sourced), 0.05% sodium azide 100 ug 559
Image
V4746-20UG 0.2 mg/ml in 1X PBS with 0.1 mg/ml BSA (US sourced), 0.05% sodium azide 20 ug 259
Image
V4746SAF-100UG 1 mg/ml in 1X PBS; BSA free, sodium azide free 100 ug 559
Microvalidated Recrabbitmono
Bulk quote request
Glutamine Synthetase Antibody Knockdown Validation WB. Western blot analysis of GLUL expression in wild-type (WT) and GLUL shRNA knockdown HeLa cells using Glutamine Synthetase antibody clone GLUL/8996R. Lane 1: WT lysate, Lane 2: knockdown lysate. The band at approximately 40-45 kDa is reduced in knockdown cells, supporting target-specific detection. Hsp90 alpha serves as a loading control.
Glutamine Synthetase Antibody Multi-Species Brain and Liver Tissue WB. Western blot analysis of GLUL expression across multiple species and tissue lysates using Glutamine Synthetase antibody clone GLUL/8996R. A band is detected at approximately 40-45 kDa, consistent with the predicted molecular weight of glutamine synthetase.
Glutamine Synthetase Antibody Y79 Cell WB. Western blot analysis of GLUL expression in human Y79 cell lysate using Glutamine Synthetase antibody clone GLUL/8996R. A band is observed at approximately 40-45 kDa, consistent with expected protein size.
Glutamine Synthetase Antibody Multi-Sample Tissue WB. Western blot analysis of GLUL expression in human brain tissue, human liver tissue, HeLa cells, Jurkat cells, and Y79 cells using Glutamine Synthetase antibody clone GLUL/8996R. A band is detected at approximately 40-45 kDa across all samples, consistent with the predicted molecular weight of glutamine synthetase and reflecting its broad expression in metabolically active tissues and cell lines.
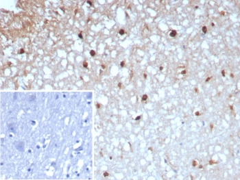
Glutamine Synthetase Antibody Brain Tissue IHC. Immunohistochemical analysis of GLUL expression in formalin-fixed, paraffin-embedded human brain tissue using Glutamine Synthetase antibody clone GLUL/8996R. Diffuse cytoplasmic HRP-DAB brown staining highlights glial cell populations and astrocytic processes throughout the neuropil, consistent with the role of glutamine synthetase in neurotransmitter metabolism. Inset: PBS was used in place of the primary antibody as a negative control, showing absence of specific staining and confirming signal specificity. HIER: boil tissue sections in pH 9 10mM Tris with 1mM EDTA for 20 min followed by cooling prior to staining.
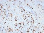
Glutamine Synthetase Antibody Brain IHC Astrocyte Pattern. Immunohistochemical staining of human brain FFPE tissue with Glutamine Synthetase antibody clone GLUL/8996R shows cytoplasmic labeling of glial cells with characteristic distribution across neural tissue, reflecting metabolic support functions in the central nervous system.
Glutamine Synthetase Antibody SDS-PAGE (Reducing vs Non-Reducing). SDS-PAGE analysis of Glutamine Synthetase antibody clone GLUL/8996R under reducing (R) and non-reducing (NR) conditions, demonstrating expected antibody heavy and light chain band patterns.
Availability 1-3 business days
Species Reactivity Human, Mouse, Rat, Hamster, Rabbit, Guinea pig
Format Purified
Host Rabbit
Clonality Recombinant Rabbit Monoclonal
Isotype Rabbit IgG, kappa
Clone Name GLUL/8996R
Purity Protein A/G affinity
UniProt P15104
Localization Cytoplasm
Applications Immunohistochemistry (FFPE) : 1-2ug/ml for 30 min (Human)
Western Blot : 2-4ug/ml (Human/Mouse/Rat/Rabbit/Hamster/Guinea pig)
Limitations This Glutamine Synthetase Antibody / Knockdown-Validated Neuro-Metabolic Enzyme Antibody is available for research use only.
Review this product on BioCompare and get a $20 Amazon gift card

Related Products

Description

Glutamine synthetase (GLUL) is a cytoplasmic enzyme that plays a central role in cellular nitrogen metabolism and neurotransmitter homeostasis by catalyzing the ATP-dependent conversion of glutamate and ammonia into glutamine. GLUL (GLUL) is a key component of the glutamate-glutamine cycle, a pathway that is essential for maintaining excitatory neurotransmitter balance and preventing glutamate-mediated excitotoxicity in the central nervous system. This enzyme is highly enriched in astrocytes and other metabolically active support cells, where it functions at the interface of neuronal signaling and metabolic regulation. The Glutamine Synthetase Antibody / Knockdown-Validated Neuro-Metabolic Enzyme Antibody is designed to detect this critical enzyme with high specificity in both tissue-based and biochemical assays. It is part of a collection of knockdown validated antibodies that have been functionally assessed using gene silencing approaches to support target-specific detection.

Glutamine Synthetase antibody, also referred to as GLUL antibody and GS antibody, recognizes a predominantly cytoplasmic protein consistent with its enzymatic role. Immunohistochemistry analysis of formalin-fixed, paraffin-embedded human brain tissue demonstrates diffuse cytoplasmic HRP-DAB brown staining within glial cell populations, with a distribution pattern that highlights astrocytic processes extending throughout the neuropil. This staining pattern reflects the known localization of GLUL in astrocytes, where it supports synaptic function by clearing excess glutamate and converting it into glutamine for neuronal reuse. The contrast between GLUL-positive glial cells and surrounding neural elements provides a clear and biologically meaningful signal for interpreting metabolic activity within brain tissue.

Western blot analysis identifies a distinct band at approximately 40-45 kDa across human cell and tissue lysates, consistent with the expected molecular weight of glutamine synthetase. The band is sharp and reproducible, supporting reliable detection in lysate-based assays. Importantly, knockdown validation using GLUL-targeted shRNA in HeLa cells results in a clear and reproducible reduction in signal compared to wild-type controls, confirming that the detected band corresponds specifically to GLUL protein. This gene silencing-based validation provides direct functional evidence linking antibody signal to endogenous protein expression and establishes a high level of confidence in target specificity.

Functionally, GLUL plays a critical role in ammonia detoxification and amino acid metabolism, particularly in tissues with high metabolic demand such as brain and liver. In the central nervous system, astrocyte-expressed GLUL regulates extracellular glutamate levels, preventing neurotoxicity while sustaining neurotransmitter recycling. This metabolic coupling between astrocytes and neurons is essential for maintaining synaptic stability and supporting sustained neuronal activity. In IHC, this biology is reflected by strong cytoplasmic staining in astrocytes and other metabolically active cells, particularly in regions with high synaptic density.

Beyond its physiological role, GLUL expression is dynamically regulated in response to metabolic stress, hypoxia, and disease states. Altered glutamine synthetase levels have been associated with neurodegenerative conditions, liver dysfunction, and tumor metabolism, where cells adapt to changing nutrient and nitrogen availability. In cancer, GLUL can contribute to metabolic reprogramming by supporting glutamine biosynthesis, enabling cell survival under nutrient-limited conditions. Its expression pattern therefore provides insight into both normal metabolic processes and disease-associated metabolic adaptations.

The combination of characteristic astrocyte-associated cytoplasmic staining in brain tissue, consistent molecular weight detection in western blot, and functional knockdown validation makes clone GLUL/8996R a well-characterized reagent for studying metabolic enzyme function and neurotransmitter regulation. These complementary validation approaches support its use in applications requiring high specificity and reproducibility, particularly in research focused on neurobiology, cellular metabolism, and metabolic stress responses.

This antibody is part of a broader antibody panel offered by NSJ Bioreagents.

Application Notes

Optimal dilution of the Glutamine Synthetase Antibody / Knockdown-Validated Neuro-Metabolic Enzyme Antibody should be determined by the researcher.

Immunogen

A recombinant partial protein sequence (within amino acids 200-373) from the human protein was used as the immunogen for the Glutamine Synthetase antibody rabbit monoclonal GLUL/8996R.

Storage

Aliquot the Glutamine Synthetase antibody and store frozen at -20oC or colder. Avoid repeated freeze-thaw cycles.

Alternate Names

Glutamine synthetase antibody, GLUL antibody, GS antibody, glutamate ammonia ligase antibody, GLUL knockdown antibody

Cross
Bulk Quote Request Form
Name*:
Organization*:
Email*:
Phone Number*:
Catalog No.*:
Comments and Specifics(amount, formulation, etc.)*:
Validation code: Captchapackage Image


Can't read the image? click here to refresh.
    *required field

Your bulk quote request has been submitted successfully!

Please contact us if you have any questions.