• Tel: 858.663.9055
  • SeparatorEmail: info@nsjbio.com
  • Tel: 858.663.9055
  • Email: info@nsjbio.com
Home >> Antibodies >> Glutamine Synthetase Antibody for WB / GLUL

Glutamine Synthetase Antibody for WB / GLUL [clone CCH-7] (RQ5441)

  Catalog No Formulation Size Price (USD)  
Image RQ5441 Antibody in PBS with 0.02% sodium azide, 50% glycerol and 0.4-0.5mg/ml BSA 100 ul 449
Microvalidated Recrabbitmono
Bulk quote request
Western blot testing of human 1) Jurkat and 2) HeLa cell lysate with Glutamine Synthetase antibody for WB. Predicted molecular weight ~42 kDa.
Western blot analysis of Glutamine Synthetase Antibody for WB CCH-7 in multiple cell and tissue lysates. Lane 1: 293 cells, Lane 2: BxPC-3 cells, Lane 3: mouse liver, Lane 4: rat liver, Lane 5: rat spleen, Lane 6: rat kidney, Lane 7: mouse stomach. A band is detected at approximately 42 kDa, consistent with the predicted molecular weight of Glutamate-ammonia ligase (GLUL). Strong signal is observed in liver samples, aligning with the known pericentral hepatocyte enrichment of glutamine synthetase, while lower intensity bands are present in non-hepatic tissues. The antibody was used at a 1:5,000 dilution for 1 hour at room temperature.
IHC staining of FFPE human liver with Glutamine Synthetase antibody. HIER: boil tissue sections in pH6, 10mM citrate buffer, for 10-20 min and allow to cool before testing.
Immunohistochemistry of Glutamine Synthetase Antibody CCH-7 in human glioblastoma. Formalin-fixed, paraffin-embedded human glioblastoma tissue demonstrates diffuse cytoplasmic HRP-DAB brown staining in tumor cells, consistent with Glutamate-ammonia ligase (GLUL) expression in astrocytic lineage-derived cells. Background stromal elements show comparatively lower signal. The antibody was used at a 1:250 dilution for paraffin-embedded tissue analysis.
Immunohistochemistry of Glutamine Synthetase Antibody CCH-7 in human prostate carcinoma. Formalin-fixed, paraffin-embedded human prostate cancer tissue demonstrates cytoplasmic HRP-DAB brown staining in malignant epithelial cells, with variable intensity across tumor regions. Adjacent stromal components show comparatively weaker signal. Staining is consistent with Glutamate-ammonia ligase (GLUL) cytoplasmic localization. The antibody was applied at a 1:250 dilution for paraffin-embedded tissue analysis.
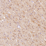
Immunohistochemistry of Glutamine Synthetase Antibody in rat cerebral cortex. Formalin-fixed, paraffin-embedded rat cortex demonstrates diffuse cytoplasmic HRP-DAB brown staining in astrocytic cells distributed throughout the neuropil, consistent with Glutamate-ammonia ligase (GLUL) localization in glial populations. Neuronal cell bodies show comparatively weaker staining, while background is minimal. The antibody was applied at a 1:400 dilution for paraffin-embedded tissue analysis.
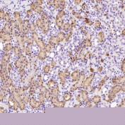
Immunohistochemistry of Glutamine Synthetase Antibody in rat kidney. Formalin-fixed, paraffin-embedded rat kidney tissue demonstrates cytoplasmic HRP-DAB brown staining in renal tubular epithelial cells, consistent with Glutamate-ammonia ligase (GLUL) expression in metabolically active nephron segments. Glomerular structures show comparatively lower staining intensity. The antibody was applied at a 1:400 dilution for paraffin-embedded tissue analysis.
Immunohistochemistry of Glutamine Synthetase Antibody in mouse ovary. Formalin-fixed, paraffin-embedded mouse ovarian tissue demonstrates cytoplasmic HRP-DAB brown staining in granulosa cells and stromal cell populations, consistent with Glutamate-ammonia ligase (GLUL) localization in metabolically active ovarian compartments. Oocyte nuclei remain unstained, while surrounding follicular cells show diffuse cytoplasmic signal. The antibody was applied at a 1:400 dilution for paraffin-embedded tissue analysis.
Immunofluorescence of Glutamine Synthetase Antibody in HeLa cells. HeLa cells show weak cytoplasmic fluorescence (green) consistent with Glutamate-ammonia ligase (GLUL) localization, while nuclei are counterstained with DAPI (blue). Phalloidin-TRITC (red) highlights actin filaments. The merged image demonstrates faint cytoplasmic GLUL staining surrounding the nuclei without nuclear overlap. The Glutamine Synthetase Antibody was used at a 1:50 dilution.
Availability 1-2 weeks
Species Reactivity Human, Mouse, Rat
Format Purified
Host Rabbit
Clonality Recombinant Rabbit Monoclonal
Isotype Rabbit IgG
Clone Name CCH-7
Purity Affinity purified
UniProt P15104
Localization Cytoplasmic
Applications Western Blot : 1:500-1:2000
Immunohistochemistry (FFPE) : 1:50-1:200
Immunofluorescence : 1:25-1:50
Limitations This Glutamine Synthetase antibody is available for research use only.
Review this product on BioCompare and get a $20 Amazon gift card

Related Products

Description

Glutamate-ammonia ligase is a cytosolic enzyme encoded by the GLUL gene and commonly referred to as Glutamine synthetase. Glutamine Synthetase Antibody for WB CCH-7 is developed for immunoblot and immunohistology detection of this key metabolic enzyme in protein lysates. GLUL catalyzes the ATP-dependent conversion of glutamate and ammonia into glutamine and plays a central role in nitrogen metabolism, ammonia detoxification, and cellular metabolic regulation.

In western blot analysis, glutamine synthetase is typically detected as a band near its predicted molecular weight of approximately 42 kDa. Brain, liver, and skeletal muscle lysates commonly demonstrate robust signal due to the high metabolic activity of astrocytes and pericentral hepatocytes, where GLUL expression is enriched. Comparative immunoblotting across tissues often reveals stronger bands in liver and central nervous system samples, while many other tissues show lower expression levels consistent with their reduced dependence on glutamine synthesis.

Because GLUL is a soluble cytoplasmic enzyme, it is generally efficiently extracted under standard RIPA or NP-40 lysis conditions. In some preparations, minor band heterogeneity may be observed due to post-translational modifications or protein turnover fragments; however, the predominant immunoreactive species corresponds to the expected size of the full-length protein. Western blot detection is frequently used to assess relative expression changes under metabolic stress, hypoxia, oncogenic pathway activation, or differentiation conditions in cultured cells and tissue samples.

Altered GLUL expression has been reported in hepatocellular carcinoma and other malignancies, where immunoblot-based quantification can support studies investigating metabolic reprogramming and glutamine dependence. As a rabbit monoclonal reagent, Glutamine Synthetase Antibody for WB CCH-7 provides consistent target recognition suitable for comparative protein expression analysis. This antibody supports research applications focused on validating GLUL expression levels, confirming molecular weight, and evaluating changes in glutamine metabolism pathways in normal and disease contexts.

Application Notes

Optimal dilution of the Glutamine Synthetase antibody for WB should be determined by the researcher.

Immunogen

A synthetic peptide specific to human Glutamine Synthetase / GLUL was used as the immunogen for the Glutamine Synthetase antibody.

Storage

Store the Glutamine Synthetase antibody at -20oC.

Cross
Bulk Quote Request Form
Name*:
Organization*:
Email*:
Phone Number*:
Catalog No.*:
Comments and Specifics(amount, formulation, etc.)*:
Validation code: Captchapackage Image


Can't read the image? click here to refresh.
    *required field

Your bulk quote request has been submitted successfully!

Please contact us if you have any questions.