• Tel: 858.663.9055
  • SeparatorEmail: info@nsjbio.com
  • Tel: 858.663.9055
  • Email: info@nsjbio.com
Home >> Antibodies >> Glutaminase Antibody / GLS

Glutaminase Antibody / GLS [clone FIA-7] (RQ4800)

  Catalog No Formulation Size Price (USD)  
Image RQ4800 Antibody in PBS with 0.02% sodium azide, 50% glycerol and 0.4-0.5mg/ml BSA 100 ul 449
Microvalidated Rab Mono Image
Bulk quote request
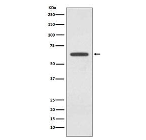
Western blot testing of human 293T cell lysate with Glutaminase antibody. Predicted molecular weigh: 65-73 kDa.
Availability 1-2 weeks
Species Reactivity Human
Format Purified
Host Rabbit
Clonality Rabbit Monoclonal
Isotype Rabbit IgG
Clone Name FIA-7
Purity Affinity purified
UniProt O94925
Applications Western Blot : 1:1000-1:2000
Limitations This Glutaminase antibody is available for research use only.
Review this product on BioCompare and get a $20 Amazon gift card

Related Products

Description

GLS encodes the K-type mitochondrial glutaminase. The encoded protein is an phosphate-activated amidohydrolase that catalyzes the hydrolysis of glutamine to glutamate and ammonia. This protein is primarily expressed in the brain and kidney plays an essential role in generating energy for metabolism, synthesizing the brain neurotransmitter glutamate and maintaining acid-base balance in the kidney. [RefSeq]

Application Notes

Optimal dilution of the Glutaminase antibody should be determined by the researcher.

Immunogen

A synthetic peptide specific to human Glutaminase / GLS was used as the immunogen for the Glutaminase antibody.

Storage

Store the Glutaminase antibody at -20oC.

Cross
Bulk Quote Request Form
Name*:
Organization*:
Email*:
Phone Number*:
Catalog No.*:
Comments and Specifics(amount, formulation, etc.)*:
Validation code: Captchapackage Image


Can't read the image? click here to refresh.
    *required field

Your bulk quote request has been submitted successfully!

Please contact us if you have any questions.