• Tel: 858.663.9055
  • SeparatorEmail: info@nsjbio.com
  • Tel: 858.663.9055
  • Email: info@nsjbio.com
Home >> Antibodies >> Glucagon Antibody

Glucagon Antibody [clone AOAF-7] (RQ4966)

  Catalog No Formulation Size Price (USD)  
Image RQ4966 Antibody in PBS with 0.02% sodium azide, 50% glycerol and 0.4-0.5mg/ml BSA 100 ul 449
Microvalidated Rab Mono Image
Bulk quote request
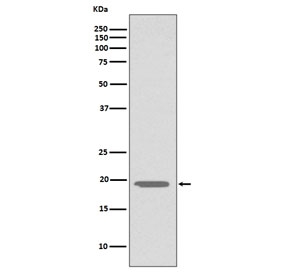
Western blot testing of human HepG2 cell lysate with Glucagon antibody. Predicted molecular weight ~21 kDa (pro form).
Availability 1-2 weeks
Species Reactivity Human
Format Purified
Host Rabbit
Clonality Rabbit Monoclonal
Isotype Rabbit IgG
Clone Name AOAF-7
Purity Affinity purified
UniProt P01275
Applications Western Blot : 1:500-1:2000
Limitations This Glucagon antibody is available for research use only.
Review this product on BioCompare and get a $20 Amazon gift card

Related Products

Description

The pancreas releases glucagon when the concentration of insulin (and indirectly glucose) in the bloodstream falls too low. Glucagon causes the liver to convert stored glycogen into glucose, which is released into the bloodstream. [Wiki]

Application Notes

Optimal dilution of the Glucagon antibody should be determined by the researcher.

Immunogen

A synthetic peptide specific to human Glucagon was used as the immunogen for the Glucagon antibody.

Storage

Store the Glucagon antibody at -20oC.

Cross
Bulk Quote Request Form
Name*:
Organization*:
Email*:
Phone Number*:
Catalog No.*:
Comments and Specifics(amount, formulation, etc.)*:
Validation code: Captchapackage Image


Can't read the image? click here to refresh.
    *required field

Your bulk quote request has been submitted successfully!

Please contact us if you have any questions.