• Tel: 858.663.9055
  • SeparatorEmail: info@nsjbio.com
  • Tel: 858.663.9055
  • Email: info@nsjbio.com
Home >> Antibodies >> Glial Fibrillary Acidic Protein Antibody / GFAP

Glial Fibrillary Acidic Protein Antibody / GFAP [clone GFAP/2076] (V3865)

  Catalog No Formulation Size Price (USD)  
Image V3865-100UG 0.2 mg/ml in 1X PBS with 0.1 mg/ml BSA (US sourced) and 0.05% sodium azide 100 ug 559
Image
V3865-20UG 0.2 mg/ml in 1X PBS with 0.1 mg/ml BSA (US sourced) and 0.05% sodium azide 20 ug 259
Image
V3865SAF-100UG 1 mg/ml in 1X PBS; BSA free, sodium azide free 100 ug 559
Microvalidated
Bulk quote request
Flow cytometry testing of fixed human T98G cells with Glial Fibrillary Acidic Protein antibody (clone GFAP/2076); Red=isotype control, Blue= Glial Fibrillary Acidic Protein antibody.
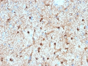
IHC testing of FFPE human cerebellum stained with Glial Fibrillary Acidic Protein antibody (GFAP/2076). Required HIER: boiling tissue sections in pH 9 10mM Tris with 1mM EDTA for 10-20 min followed by cooling at RT for 20 min.
Analysis of HuProt(TM) microarray containing more than 19,000 full-length human proteins using Glial Fibrillary Acidic Protein antibody (clone GFAP/2076). These results demonstrate the foremost specificity of the GFAP/2076 mAb.
Z- and S- score: The Z-score represents the strength of a signal that an antibody (in combination with a fluorescently-tagged anti-IgG secondary Ab) produces when binding to a particular protein on the HuProt(TM) array. Z-scores are described in units of standard deviations (SD's) above the mean value of all signals generated on that array. If the targets on the HuProt(TM) are arranged in descending order of the Z-score, the S-score is the difference (also in units of SD's) between the Z-scores. The S-score therefore represents the relative target specificity of an Ab to its intended target.
SDS-PAGE analysis of purified, BSA-free Glial Fibrillary Acidic Protein antibody (clone GFAP/2076) as confirmation of integrity and purity.
Western blot testing of human brain tissue with Glial Fibrillary Acidic Protein antibody. Predicted molecular weight ~50 kDa.
GFAP Antibody Brain Tissue WB. Western blot analysis of human brain, mouse brain, rat brain, guinea pig brain, and hamster brain tissue lysates using Glial fibrillary acidic protein Antibody clone GFAP/2076. A strong band is detected at approximately 50 kDa in human brain lysate, with additional bands of similar molecular weight observed in rat, guinea pig, and hamster brain samples, consistent with the predicted molecular weight of GFAP, a major astrocytic intermediate filament protein involved in maintenance of neural cytoskeletal organization and central nervous system integrity. Subtle lower molecular weight bands forming a faint stacked pattern beneath the primary human brain signal likely represent GFAP isoforms and/or partial proteolytic processing products commonly observed in neural tissue extracts.
Availability 1-3 business days
Species Reactivity Human
Format Purified
Host Mouse
Clonality Monoclonal (mouse origin)
Isotype Mouse IgG1, kappa
Clone Name GFAP/2076
Purity Protein G affinity chromatography
UniProt P14136
Localization Cytoplasmic
Applications Flow Cytometry : 1-2ug/10^6 cells
Immunohistochemistry (FFPE) : 1-2ug/ml for 30 min at RT
Western Blot : 2-4ug/ml
Limitations This Glial Fibrillary Acidic Protein antibody is available for research use only.
Review this product on BioCompare and get a $20 Amazon gift card

Related Products

Description

Glial Fibrillary Acidic Protein antibody detects GFAP, a type III intermediate filament protein encoded by the GFAP gene. GFAP is a defining marker of astrocytes in the central nervous system and plays a critical role in maintaining cytoskeletal structure and mechanical strength in glial cells. Because of its restricted expression and diagnostic importance, GFAP is widely used in neuroscience, neuropathology, and brain injury research.

GFAP filaments contribute to the structural framework of astrocytes, providing resilience against mechanical stress while anchoring other cytoskeletal components. They are also involved in signaling pathways that regulate cell shape, migration, and interactions with neurons and endothelial cells. GFAP is upregulated in response to injury or disease, where astrocytes undergo hypertrophy and proliferation in a process known as reactive gliosis. This makes GFAP detection an essential tool for monitoring neuroinflammation and neurodegeneration.

The Glial Fibrillary Acidic Protein antibody clone GFAP/2076 provides specific and reproducible detection of this astrocytic protein. Clone GFAP/2076 has been used in peer-reviewed studies investigating central nervous system injury, astrocyte biology, and glial tumor diagnostics. Recombinant production ensures lot-to-lot consistency, enabling reproducible results across long-term projects.

Research using clone GFAP/2076 has clarified how GFAP expression distinguishes astrocytomas and glioblastomas from other central nervous system tumors. In neuropathology, GFAP detection is a cornerstone of diagnostic classification, providing insight into tumor origin and grade. In basic science, GFAP serves as a marker for studying glial cell development, interactions with neurons, and astrocytic contributions to synaptic homeostasis.

GFAP is not only a diagnostic marker but also an indicator of neurological disease processes. Elevated GFAP levels are found in cerebrospinal fluid and serum after traumatic brain injury, making it a potential biomarker for clinical monitoring. Studies employing GFAP antibodies have explored its use in Alzheimer disease, multiple sclerosis, and other neurodegenerative conditions where astrocyte reactivity plays a role.

NSJ Bioreagents supplies this Glial Fibrillary Acidic Protein antibody to support neuroscience, pathology, and regenerative biology. Alternate names include GFAP antibody, astrocytic filament protein antibody, type III intermediate filament protein antibody, and glial marker antibody.

Application Notes

Optimal dilution of the Glial Fibrillary Acidic Protein antibody should be determined by the researcher.

Immunogen

A portion of amino acids 101-200 were used as the immunogen for the Glial Fibrillary Acidic Protein antibody.

Storage

Store the Glial Fibrillary Acidic Protein antibody at 2-8oC (with azide) or aliquot and store at -20oC or colder (without azide).

Cross
Bulk Quote Request Form
Name*:
Organization*:
Email*:
Phone Number*:
Catalog No.*:
Comments and Specifics(amount, formulation, etc.)*:
Validation code: Captchapackage Image


Can't read the image? click here to refresh.
    *required field

Your bulk quote request has been submitted successfully!

Please contact us if you have any questions.