• Tel: 858.663.9055
  • SeparatorEmail: info@nsjbio.com
  • Tel: 858.663.9055
  • Email: info@nsjbio.com
Home >> Antibodies >> GGCX Antibody

GGCX Antibody (R35095)

  Catalog No Formulation Size Price (USD)  
Image R35095-100UG 0.5 mg/ml in 1X TBS, pH7.3, with 0.5% BSA (US sourced) and 0.02% sodium azide 100 ug 475
Bulk quote request
Western blot testing of human muscle lysate with GGCX antibody at 0.3ug/ml. Predicted molecular weight ~85kDa.
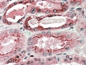
IHC staining of FFPE human kidney with GGCX antibody at 5ug/ml. HIER: steamed with pH6 citrate buffer, AP-staining.
Availability 1-3 business days
Species Reactivity Human
Predicted Reactivity Dog
Format Antigen affinity purified
Host Goat
Clonality Polyclonal (goat origin)
Isotype Goat Ig
Purity Antigen affinity
Gene ID 2677
Localization Cytoplasmic
Applications Western Blot : 0.3-1ug/ml
Immunohistochemistry (FFPE) : 5-10ug/ml
ELISA (peptide) LOD : 1:32000
Limitations This GGCX antibody is available for research use only.
Review this product on BioCompare and get a $20 Amazon gift card

Description

Additional name(s) for this target protein: Gamma-glutamyl carboxylase

Application Notes

Optimal dilution of the GGCX antibody should be determined by the researcher.

Immunogen

Amino acids PPESNPDPVHSE were used as the immunogen for this GGCX antibody.

Storage

Aliquot and store the GGCX antibody at -20oC.

Cross
Bulk Quote Request Form
Name*:
Organization*:
Email*:
Phone Number*:
Catalog No.*:
Comments and Specifics(amount, formulation, etc.)*:
Validation code: Captchapackage Image


Can't read the image? click here to refresh.
    *required field

Your bulk quote request has been submitted successfully!

Please contact us if you have any questions.